前歯1本の美しさにこだわるインプラント治療
- 01
- インプラント
- 審美
- 限局的

基本データ
- 年齢/性別
- 39歳 女性
- 治療期間
- 約 年 ヶ月
- 費用
- 約 万円
- リスクと副作用
- 術後疼痛/歯肉腫脹/知覚過敏
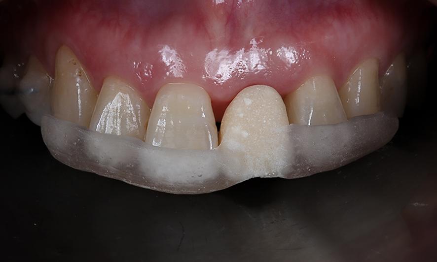
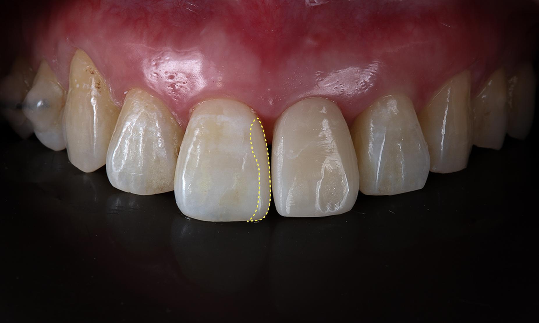
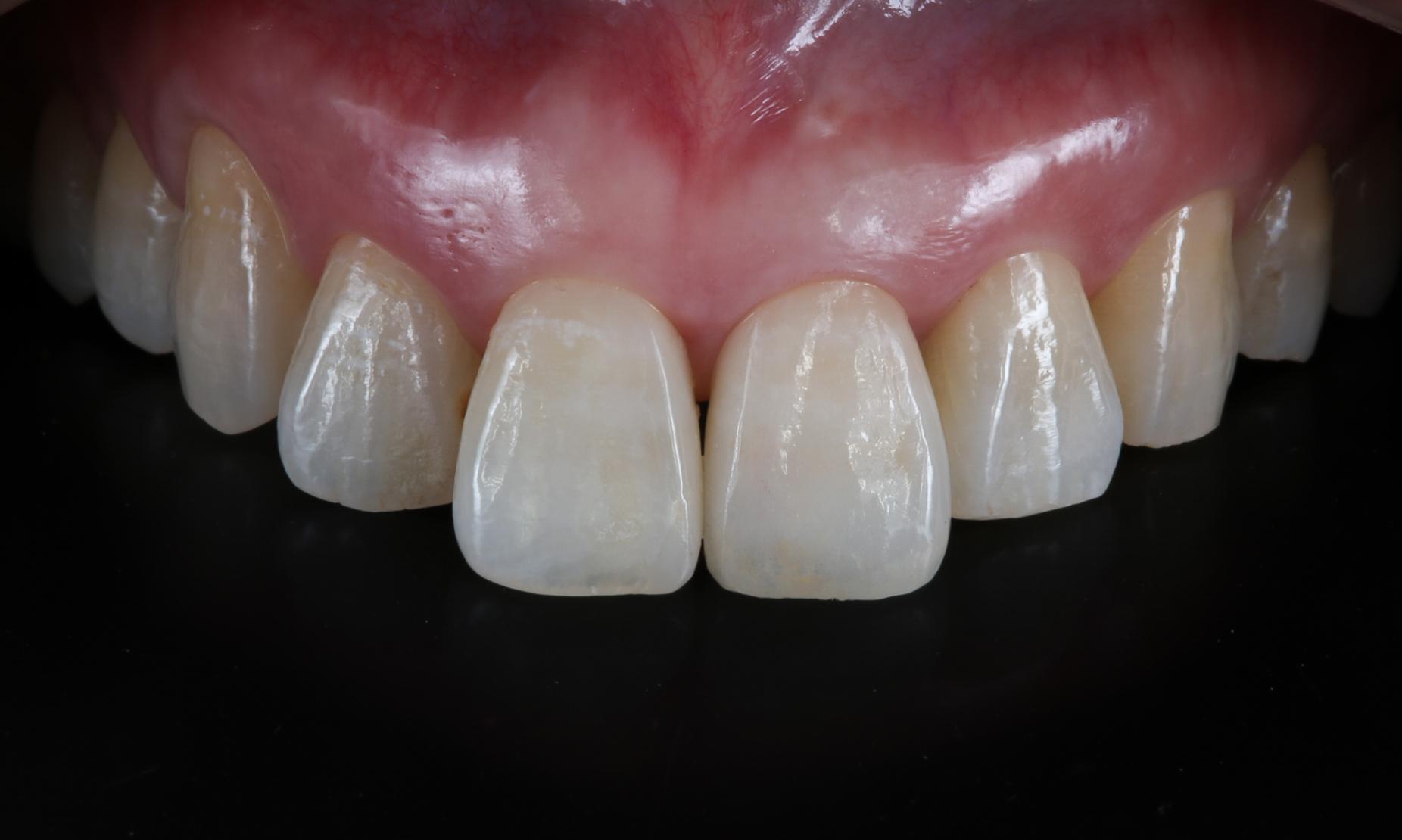
上の前歯6本の中で1本だけインプラントが入っています。どの歯がインプラント=作り物の歯か分かりますか?当院の高度歯科医療ではここまで自然な歯に仕上げることが可能です。


ご来院の理由
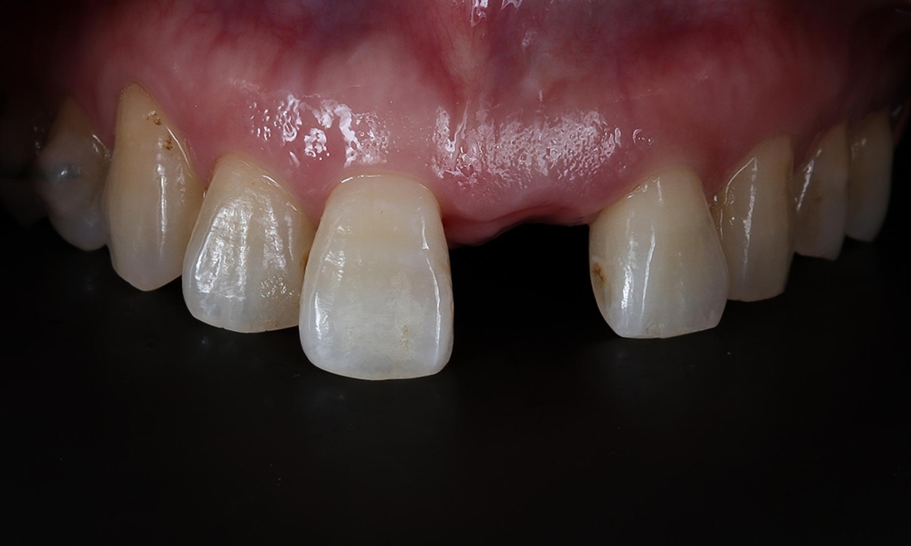
この方は44歳の女性で、左の前歯が1本欠損した状態でご来院されました。原因は◯◯による外傷で歯を折ってしまい、他院で保存が難しいと診断され、抜歯を余儀なくされたとのことです。抜歯後にインプラント治療を希望されましたが、同じく◯◯の影響でインプラントが困難と言われ、部分的な入れ歯か、隣接する健康な歯を削ってブリッジ治療を行うしかないと提案されました。
前歯は審美性に大きく影響するため、可能な限り自然に仕上げたいという強いご希望がありました。しかし、どの選択肢も理想に反するため、困り果てた末に当院へご連絡をいただきました。
治療の解説
前歯治療の大原則は「2本の前歯が顔の中心で左右対称」に見えることです。今回のケースのように1本だけインプラントで補う場合、隣接する健康な歯と完全に調和させることが極めて難しい状況でした。左右対称を優先するために、隣の健康な歯を削り2本の人工歯を作るのが一般的ですが、当院では健康な歯を削らずに審美性と機能性を両立させるアプローチを行いました。
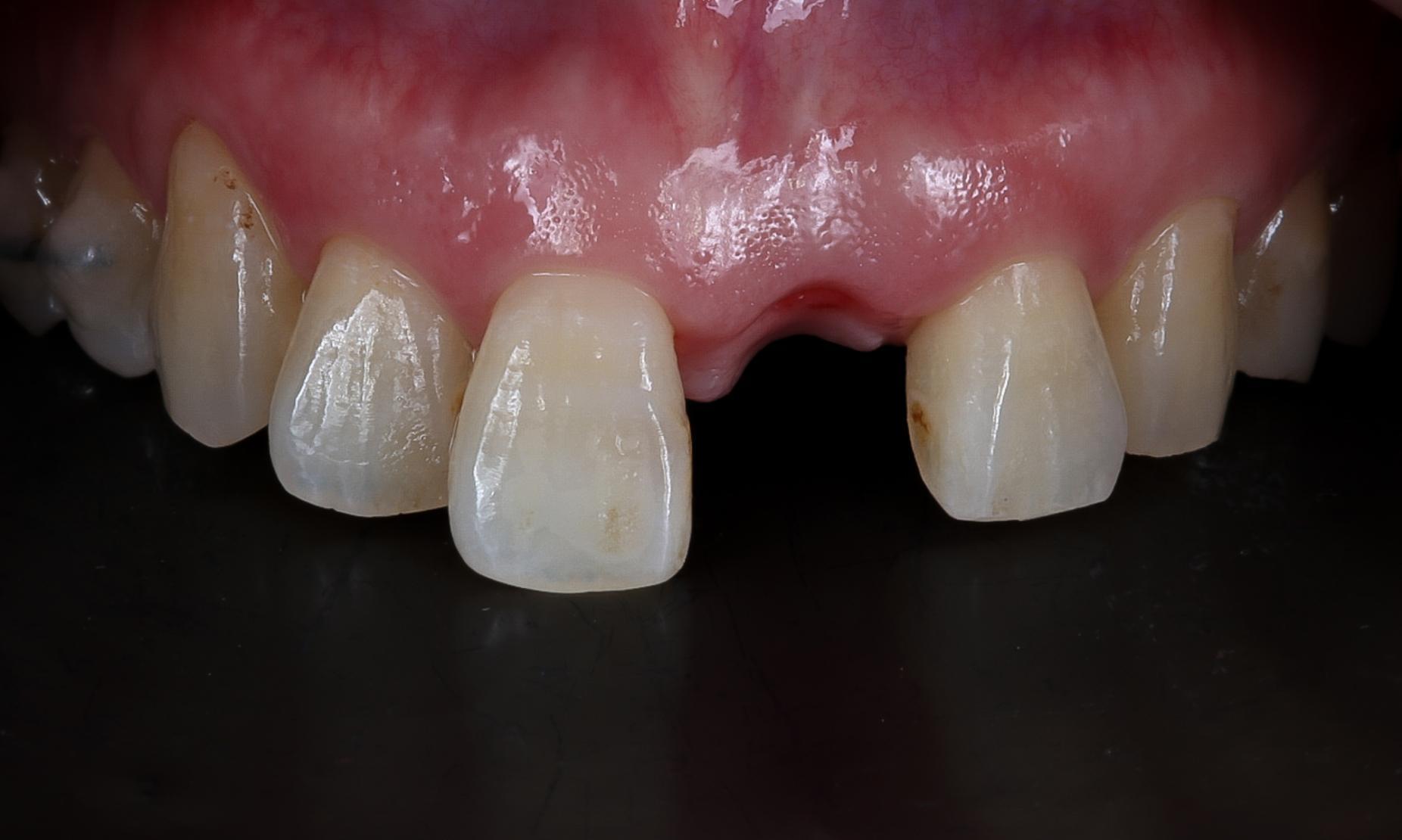
初診時のお口の状態を確認したところ、左右の前歯のスペースが揃っていないことが判明しました。このままでは左側のインプラントを挿入すると不自然に大きな歯となり、審美性が損なわれるリスクがありました。

そこで当院の「逆算シミュレーション」に基づき、最終的な美しい仕上がりを目指して治療計画を立案しました。具体的には以下の方法を採用しました
- 左側の隣接歯の幅をダイレクトボンディングで補い左右対称に調整
- 右側の欠損部位にはインプラントを用いて補綴(ほてつ)

(模型上でブルーの部分が診断用シミュレーション)
シミュレーションとインプラント手術
CTスキャンを用いて骨と歯肉の状態を精査したところ、骨の厚さはインプラントに適しているものの、歯ぐきの高さが不足していることが判明しました。そこで、インプラント手術と同時に「結合組織移植術(CTG)」を行い、歯ぐきの高さと厚みを補う計画をご提案しました。
手術では、事前シミュレーションで決定した理想的な位置にインプラントを埋入するため、「埋入ガイド(ステント)」を用いて精密に処置を行いました。さらに、歯ぐきを慎重に剥離し、必要な厚さを盛り足して縫合しました。
手術後の回復期間には仮歯を装着し、日常生活での支障が出ないよう配慮しました。

CT画像から歯ぐきの垂直的な厚みが足りないことが確認できた

模型上のシミュレーションの通りに埋入ガイド(ステント)を製作する。

シミュレーション通りの位置にインプラントを埋入出来るようにステントと呼ばれる(透明な樹脂の部分)埋入ガイドを使い、正確性と安全性を確保しています。

インプラント埋入と同時に結合組織移植術のために、部分層弁という手法で一部の歯茎を慎重に剥がします。


◯週間後、歯ぐき傷が回復したところ

初診時の歯ぐきの状態。ちょうどよく見えるがこのまま埋入すると審美審美性が損なわれてしまう。
術後数週間で歯ぐきが十分に回復し、その後インプラントと骨が結合するまでの2〜3カ月間を使って、カスタムアバットメント(歯ぐきの形を整えるための仮歯)を使用して歯ぐきの形状を調整しました。このステップにより、自然な歯ぐきのラインを形成することが可能となります。安価なインプラントの場合、この手順が省略されてしまうことがしばしばあります。

歯ぐき形成用のカスタムアバットメント(インプラント仮歯)が入ったところ。

カスタムアバットメント。これで歯ぐきを圧迫して形成していく。
並行して、隣接する健康な歯にダイレクトボンディングで幅を足し、左右対称の歯列を作り上げました。

ダイレクトボンディングによる横幅の調整を行いました。

前後を比べるとシミュレーション通り明らかに歯幅が増えている。
インプラントと骨がしっかりと結合した頃、立体的な歯ぐきの形成もできました。仮に結合組織移植術=歯ぐきの再生治療を行わなかった場合には、このような自然は歯ぐきの形成は難しくなります。

元の歯がここにあったことが思い浮かぶような歯ぐきの形に仕上がった。

最終仕上げ
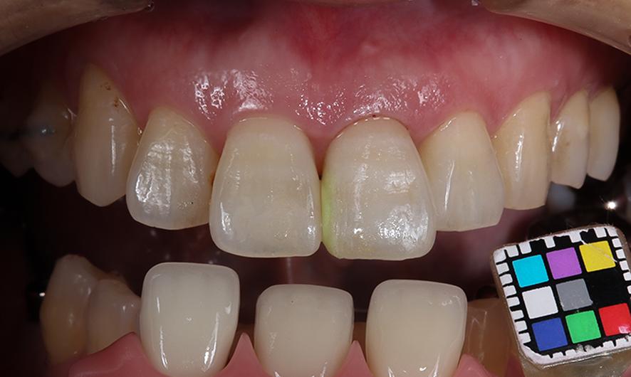
最終工程では、セラミック製の人工歯を作成しました。歯の色や形が自然に仕上がるまで、専用の電気炉で焼き入れを繰り返し、隣接する歯と調和するよう細かく調整しました。

最終的な歯の色合わせをしているところ。色が合うまで調整を繰り返します。
完成写真
最終的に、どこにインプラントがあるのか分からないほど自然な仕上がりとなりました。


治療を振り返って
たった1本のインプラント治療であっても、審美性と機能性を追求するには複数の高度な手技を駆使する必要があります。今回の治療では、患者様の健康な歯を一切削らず、美しい仕上がりを実現することができました。患者様から「もう一度笑顔を取り戻せた」と感謝の言葉をいただけたことが、何よりの喜びです。
このように、当院では患者様一人ひとりのご要望に応じて、最適な治療を提供しております。どのようなお悩みでもお気軽にご相談ください。

