歯周病治療とインプラントと矯正を複合した機能再建治療
- 02
- インプラント
- 広範的
- 矯正併用
- 歯周病
- 再生治療

基本データ
- 年齢/性別
- 56歳 女性
- 治療期間
- 約 年 ヶ月
- 費用
- 万円
- リスクと副作用
- 術後疼痛/歯肉腫脹/知覚過敏
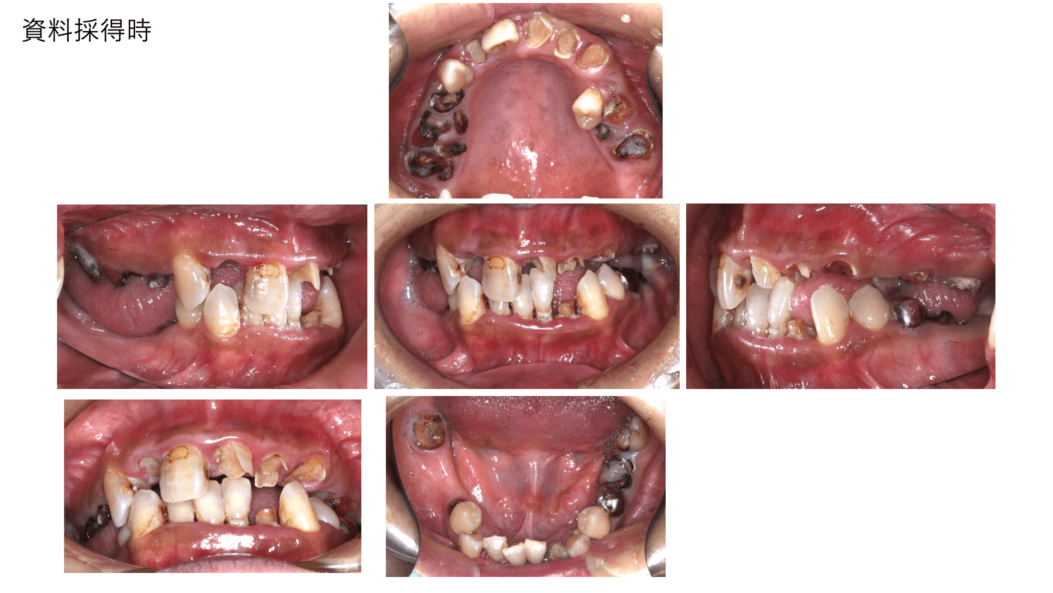
大病を患っていたことから口腔ケアが出来ず重度歯周病と歯冠崩壊が進んでしまったケースです。矯正治療とインプラント治療を組み合わせ、可能な限り天然歯を保存して口腔再建を行いました。


ご来院の理由
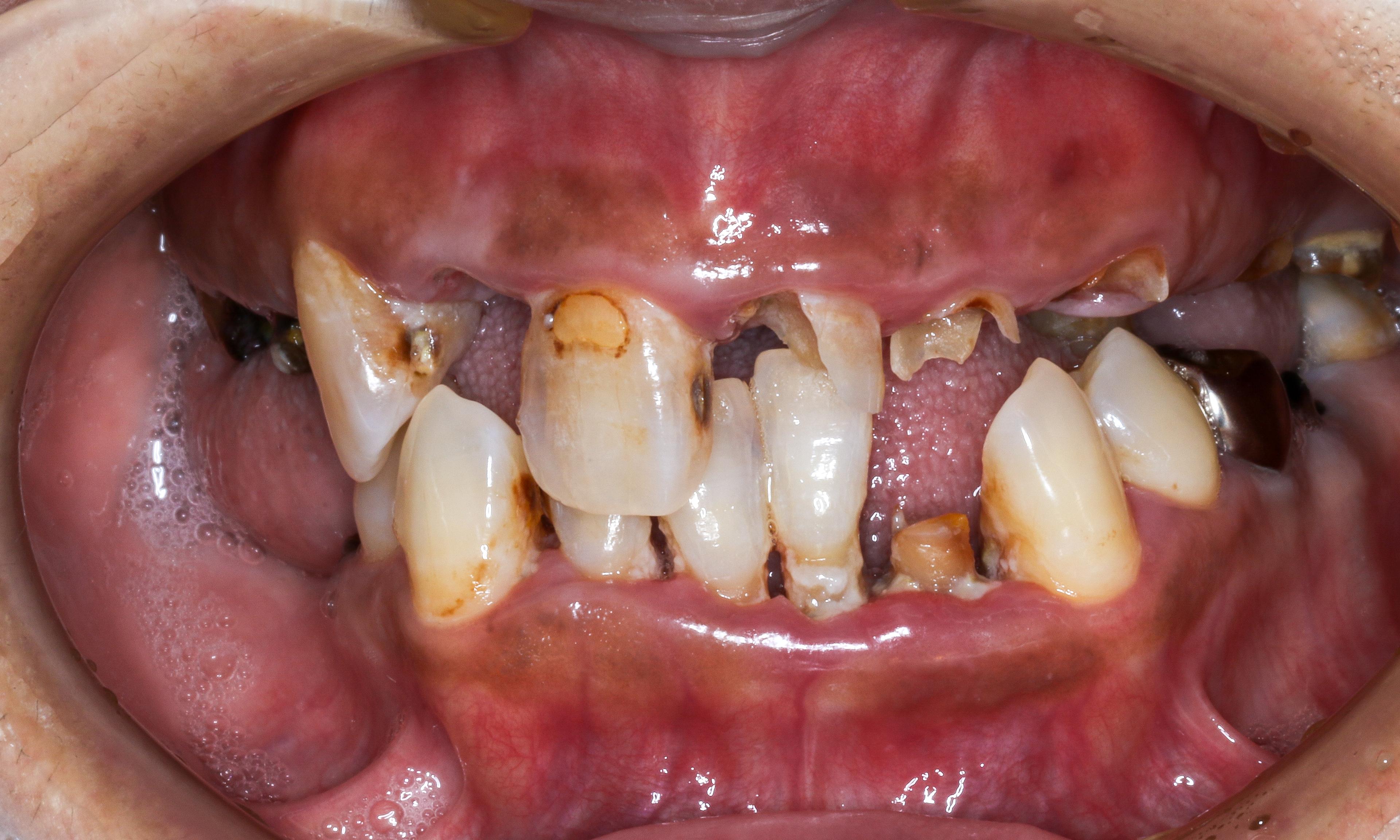
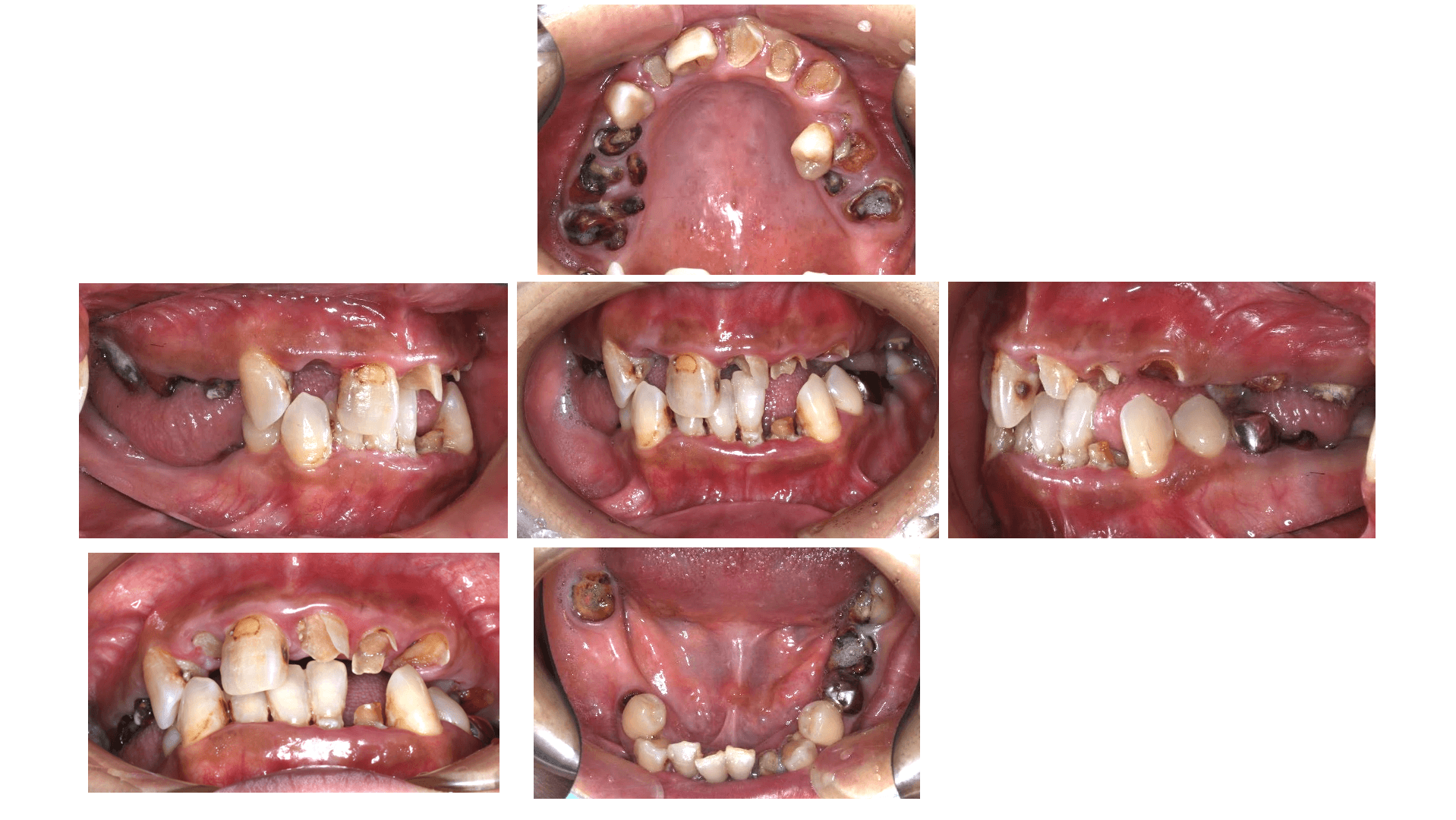
56歳の女性です。年始に来院されました。「正月に顔全体が腫れて3日間発熱した、最後に歯医者行ってから5年は経っている」とのことでした。後にわかることですが、4年前に子宮体がん(ステージⅣ)に対する外科治療を行い、経過観察中だったそうです。闘病でつらい時期があり、ここまで放置してしまったということです。

初診時の急患対応
パノラマX線写真です。多数のう蝕、重度の歯周炎の進行などが認められます。

まずは、痛みへの対応を行うことで少しでも安心、信頼をしていただき、継続して通ってもらうことが重要と考えました。上の前歯に根尖病変が3つあったので、3本とも根管治療を行い、ビタペックスの貼薬まで行いました。次の日には痛みがなくなったとのことで、安心しました。


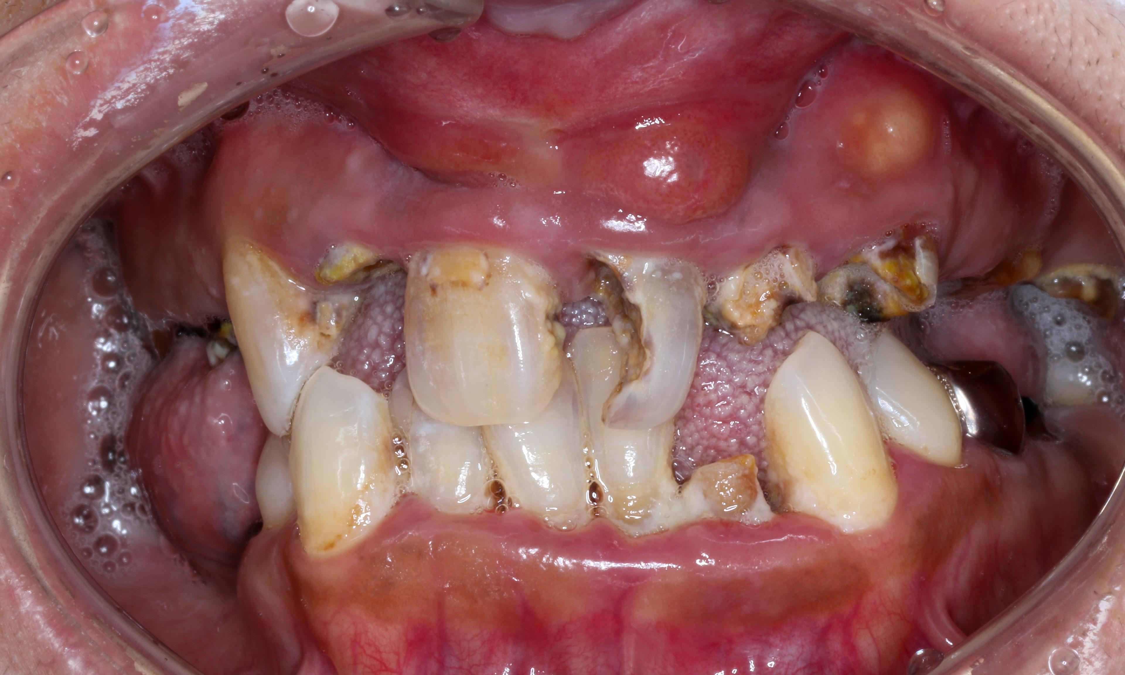
初診から2週間後:資料採得
応急処置から2週間後、改めてお口の状態を確認するために口腔内撮影など詳しい資料を集めます。




歯周病基本治療
歯周病治療を成功させるためには、患者様のモチベーションが非常に重要になってきます。
- 同じような状態の方の治療例を見ていただき「ここに通えば治るんだ」と思っていただくこと
- Oral Hygiene Instruction(口腔衛生指導)を通じてさらに医院を信頼していただくこと
- 機能回復を早期に行い、QOLを回復すること
- 炎症のコントロールを行うこと
染め出しを行い口腔衛生指導を開始しました。FMPS(全顎的プラークスコア)は88%です。

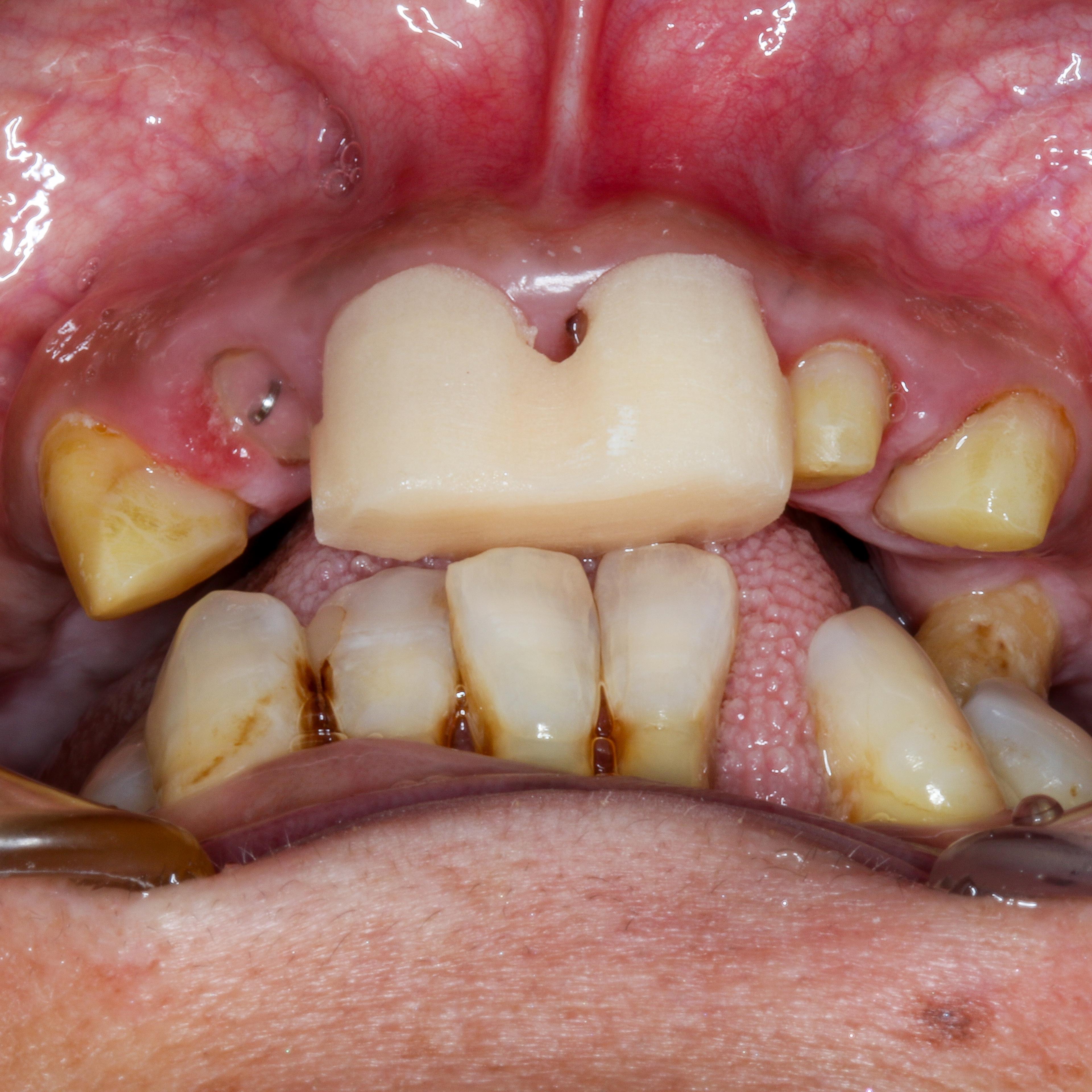
歯周病治療終了:再評価時
再評価時の口腔内写真です。この頃には、患者様が治療に対し前向きになってきたことを感じました。BS(出血スコア)は26%にまで改善しています。この段階で見た目と機能の回復を図るため仮歯を装着しました。これと並行して抜歯等も行っています。




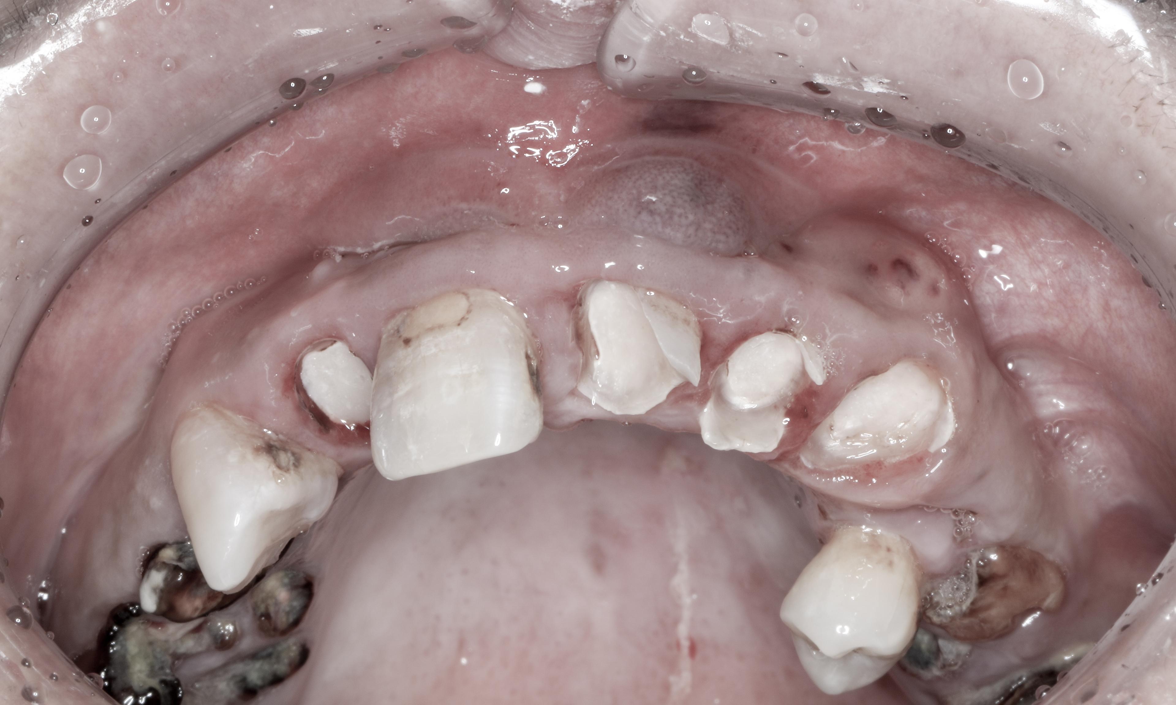
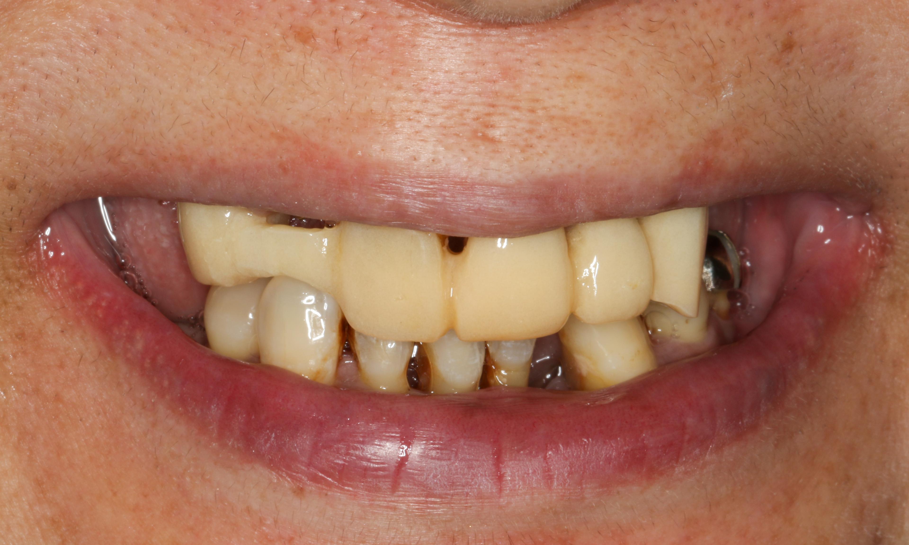
本格的な治療の前に精密な資料取り
根本的な治療に進むことに対し、持病のこともあったのでご家族の反対等もあり、ご家族も含めて何度か治療計画のお話の機会を設けさせていただきました。最終的には「持病の検査の結果が良かったので根本的な治療を進めたい」ということになりました。
歯周病の治療が完了したところで本格的な治療に入る前に顔貌のお写真など、改めて資料をとらせていただきます。

正面観:で調整してますが、中切歯切端の位置と咬合高径は適正と考えました。

側方面観:口唇の突出具合は適正と考えました。
治療計画の決定
治療計画は以下のように決定いたしました。
- 下の左右奥歯はインプラント
- 右上2はエクストルージョンを行い
- 上の前歯3-3でクラウンレングスニング
- 下の前歯は矯正治療で保存する
- 左上5は矯正治療にトライして、難しければ移植で保存する。
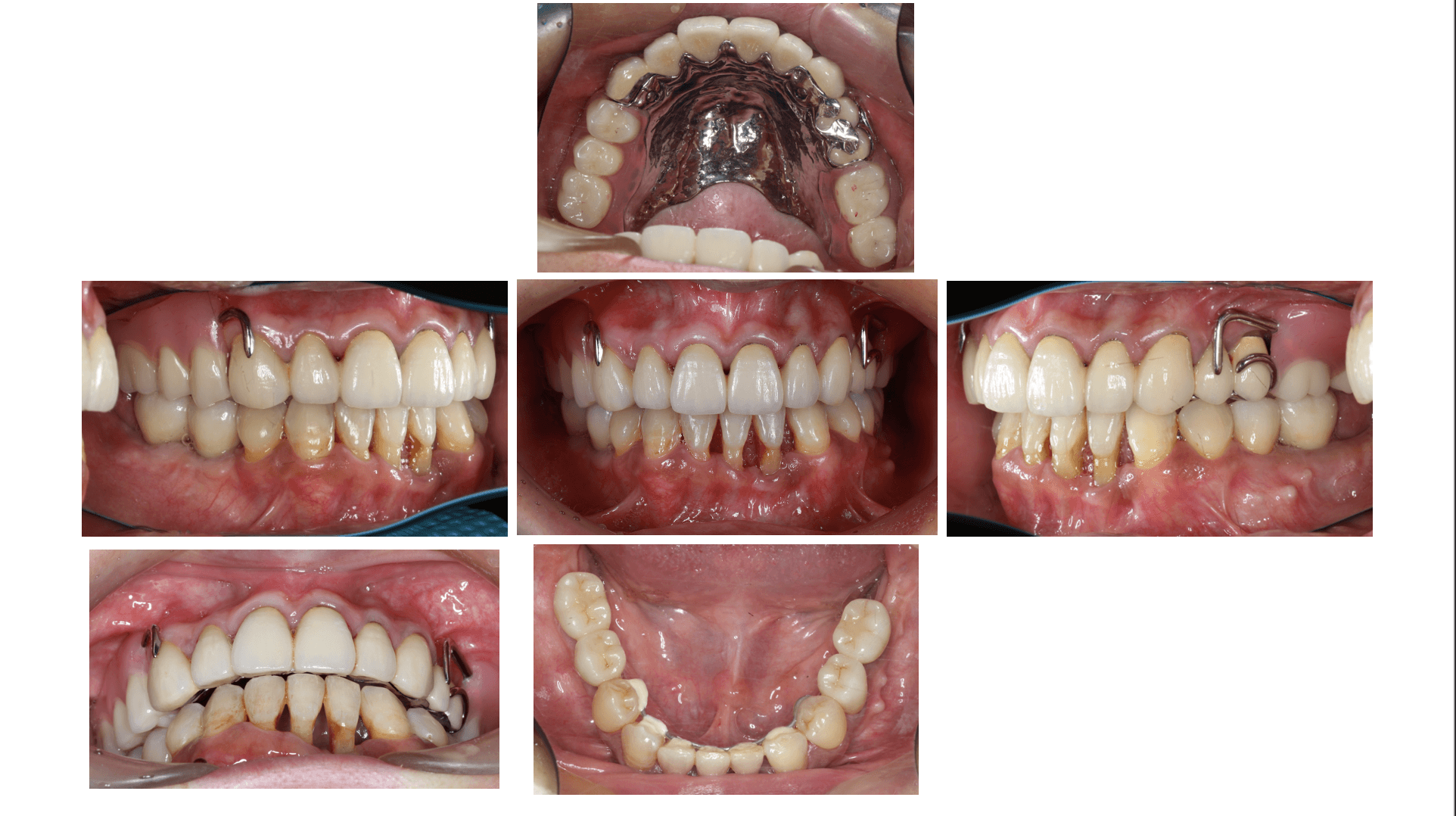
- 上の左右の奥歯は費用的な制限から義歯

治療の流れ
治療の流れですが
- CRのバイト採得
- 診断用ワックスアップ
- 上顎前歯部は右上2エクストルージョンの後、2ステージに分けてのクラウンレングスニング
- 右下56はIP埋入と同時にGBRを行い、APFと、必要に応じてFGG
- 左下6も右下と同様です
- 左上5は矯正治療にトライし、難しければ移植
- その後、下顎前歯部の矯正治療+上顎臼歯部に仮義歯の作製
- バイト(咬合)の確認
- 最終補綴物の作製
専門用語がいっぱいで少し難しい内容になってしまいましたが、少しでも分かりやすく書くと次のようになります。
- 噛み合わせの高さ決め
- 模型による精密なシミュレーション
- 上の前歯の被せ物が最終的に安定して美しく入るように歯冠長延長術
- 右下のインプランは骨が足りないので骨再生治療と歯茎の高さ調整
- 左下のインプランも同じく
- 左上の一本だけ大きく内側に動いてしまった歯には矯正チャレンジ、難しければ移植
- 下の前歯の矯正と、上の左右奥歯の入れ歯作製
- 最終的な被せ物を作製

模型上でのシミュレーション
フェイスボウという装置で実際の口腔内の噛み合わせ状態を記録し、正確にシミュレーション模型にも再現します。咬合高径はテンポラリークラウン(仮歯)と同じ高さに設定しています。


下顎前歯は、歯周病や歯肉退縮に対する配慮が必要なことから自分でセットアップを行ってます。理想的な幅径の下顎臼歯を並べます。


上顎は、支台歯の位置・切端の位置・臼歯関係などを考慮し並べています。切端の位置はテンポラリークラウン(仮歯)と同じにしています。

上顎:スタディモデル

上顎:ワックスアップ・シミュレーション

下顎:スタディモデル

下顎:ワックスアップ・シミュレーション
このような経過をたどって、シミュレーション模型が完成しました。

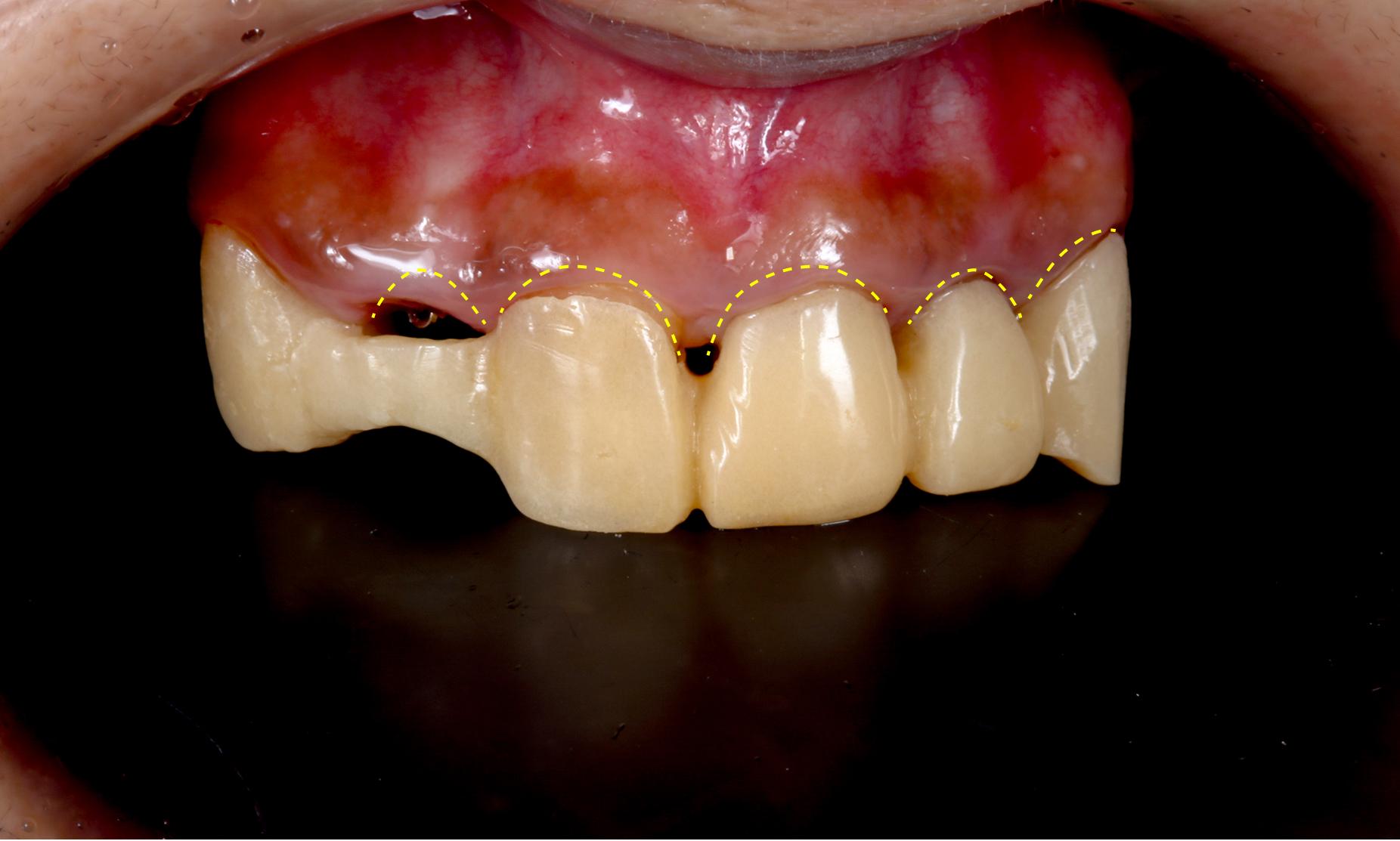
上の前歯の治療:
まずは上顎前歯部です。中切歯切端の位置は適正と考えましたので、それを参考に理想的な歯冠長を再現できる歯肉レベルを目標としました。


クラウンレングスニング(歯冠長延長術)の目的としては唇側の審美性・口蓋側のフェルールの獲得があります。この処置をしっかりしておかないと、安定しない被せ物になってしまいます。
また、2-stage crown lengthening のメリットとしては
- 角化組織の温存
- 術後疼痛の低減
- などが挙げられます。
黄色いラインが想定した歯肉ラインの位置になります。

口蓋側の比較です。骨整形前と骨整形後8ヶ月になります。
フェルールが十分に獲得されているのがわかります。


仮歯も2ステップで行います。ステップ1では、骨整形後1ヶ月で支台歯形成を行い、プロビジョナルレストレーション(仮歯)を作製

骨整形後1ヶ月‥支台歯形成

ステップ1のプロビジョナルレストレーション
骨整形後2ヶ月で歯肉切除を行い、そこから6ヶ月後、歯肉レベルが安定していると判断したので、改めて歯肉縁下に支台歯形成を行い、プロビジョナルレストレーション(仮歯)を修正し理想の形にしました。

歯肉切除後6ヶ月‥ファイナル(仮歯)の形成

骨整形後2ヶ月‥歯肉切除
右下56(奥歯)のインプラント
診断用ワックスアップ(シミュレーション模型)を反映したインプラント手術用ステント(埋入ガイド)を用いて、コンピューター上でシミュレーションを行います。

理想の位置にインプラントを埋入しました。写真でも分かるように、このときに頬側の骨が足りなくなるのはCTによるシミュレーションであらかじめ予測済みです。そのためインプラント手術と同時にGBR(骨再生誘導法)、自家骨移植によって骨再生も行います。

自家骨とDBBMを1:1で混和しハニカムメンブレンで被覆、骨補填材の露出部に吸収性メンブレンのオシックスを被覆しました。
術後、十分に骨が回復していることが見てもはっきり分かります。


左下(奥歯のインプラント
左下のインプラントも、右下と同様のステップを踏みます。


GBR後6ヶ月で頭出しを行いました。ハニカムメンブレン除去後、角化組織が十分あるので、APFのみで対応しています。
左上5の矯正と移植
1本だけ内側に入ってしまった歯があり、通常このくらい位置がずれていると抜歯になってしまうケースがほとんどですが、出来る限り天然歯を残す方法を試します。
はじめに矯正治療にトライしたのですが、動かなかったために断念し、移植で対応することにしました。

同一部位への移植であることから、レプリカの干渉を避けるため、ドナー歯を先に抜去し、生理食塩水中に保管
温存的にフラップを形成、抜歯窩よりソケットリフトを行い、レプリカを試適しながら骨整形を行いました。その後、保管しておいたドナー歯を設置、近心部のキャップにはFGG(遊離歯肉移植術)を行い、血餅の保持をサポートするようにしています。

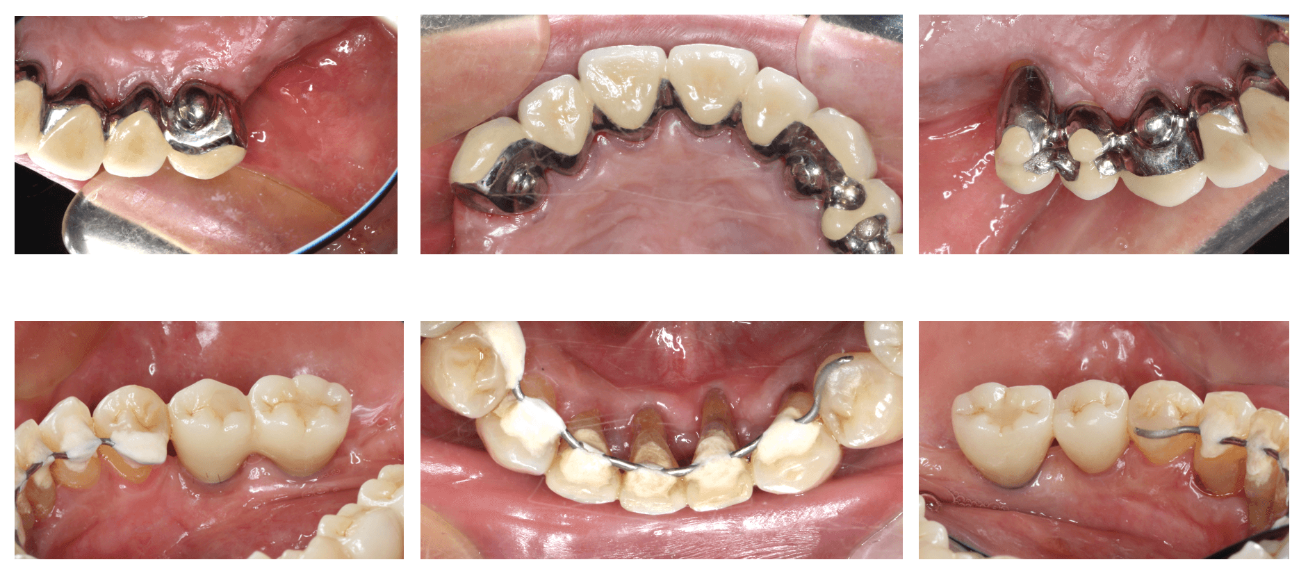
下顎前歯部の矯正と、上顎臼歯部の義歯
診断用ワックスアップよりシェルテックを作製し、それを用いてインプラント部に矯正用のプロビジョナルレストレーションを作製しました。最終的な予測位置に事前にインプラントを埋入することで、インプラントを固定源として矯正治療を行うことが可能になります。
同時に上顎の仮義歯を作成し、バーティカルストップを確保しています。


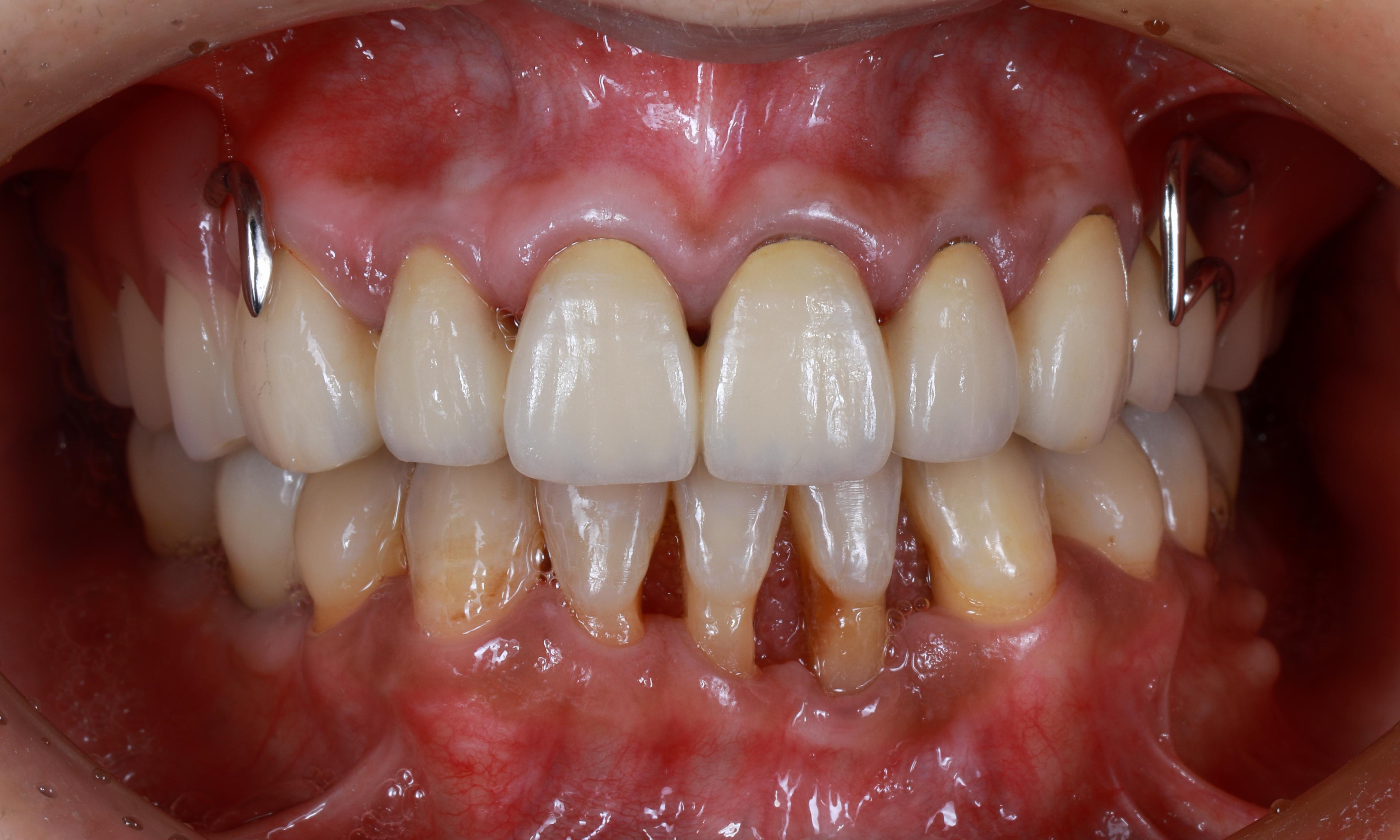
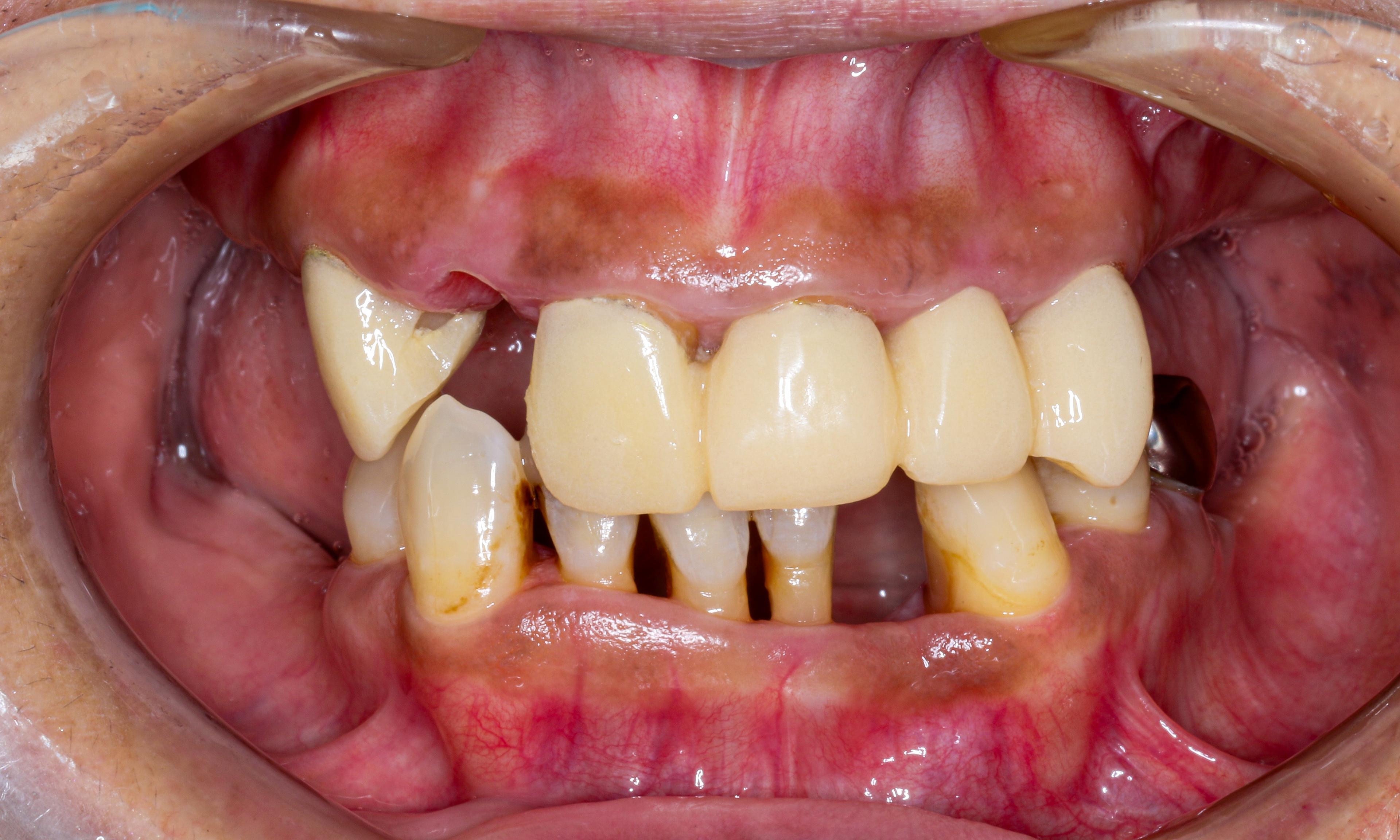
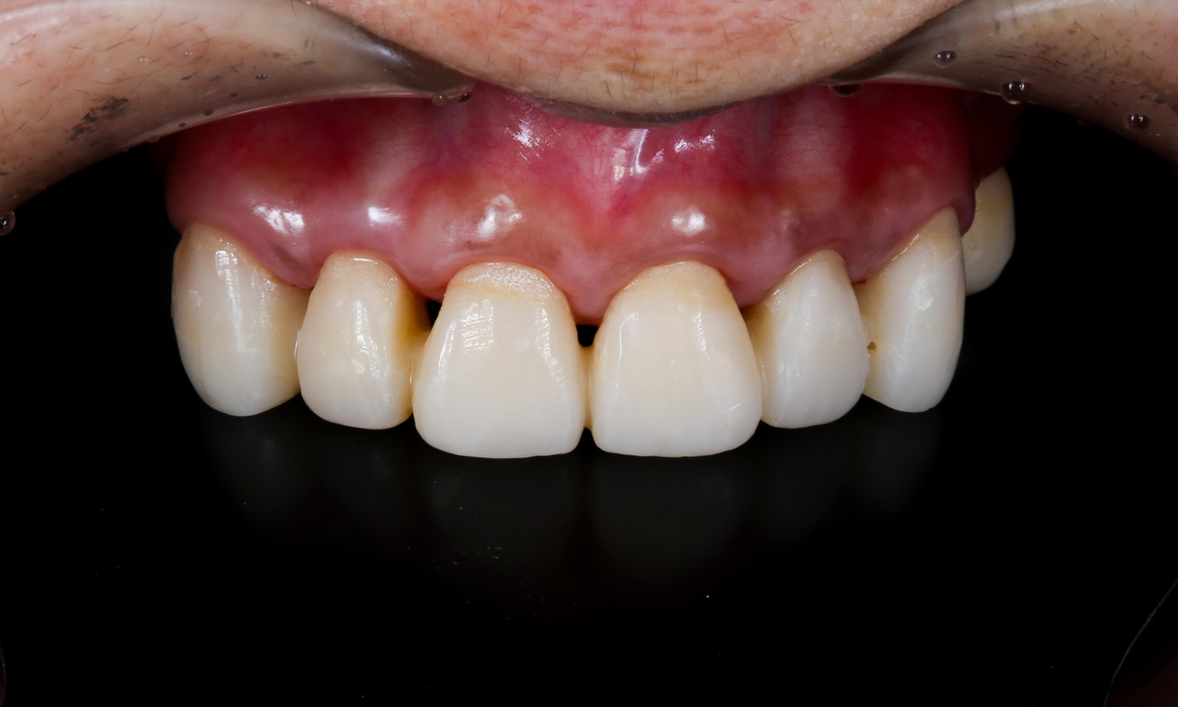
最終補綴物
最終補綴物になります。ロングスパンのブリッジであることから、適合性を考慮しメタルボンドのブリッジで作製しております。
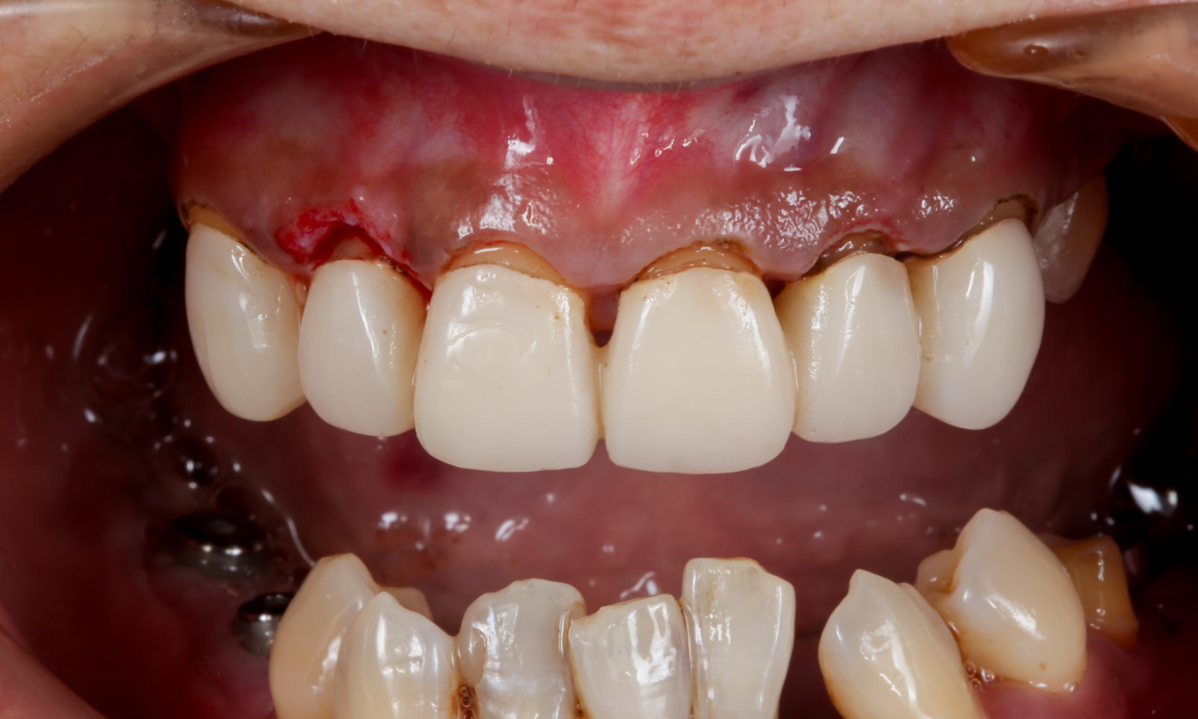
患者様にも本当にとても良く頑張っていただき、初期の状態からここまでもってくることができました。
BS(出血スコア)、PS(プラークスコア)共にSPTで安定する数値にまで改善しております。今後も注意深くサポートさせていただく必要があると感じています。





