マイクロスコープ下での低侵襲な歯周組織再生療法
- 04
- 広範的
- 歯周病
- マイクロスコープ
- 再生治療

基本データ
- 年齢/性別
- 40代 男性
- 治療期間
- 約1年8ヶ月
- 費用
- 保険:約10万円 + 自費:約40万円
- リスクと副作用
- 術後疼痛/歯肉腫脹/知覚過敏
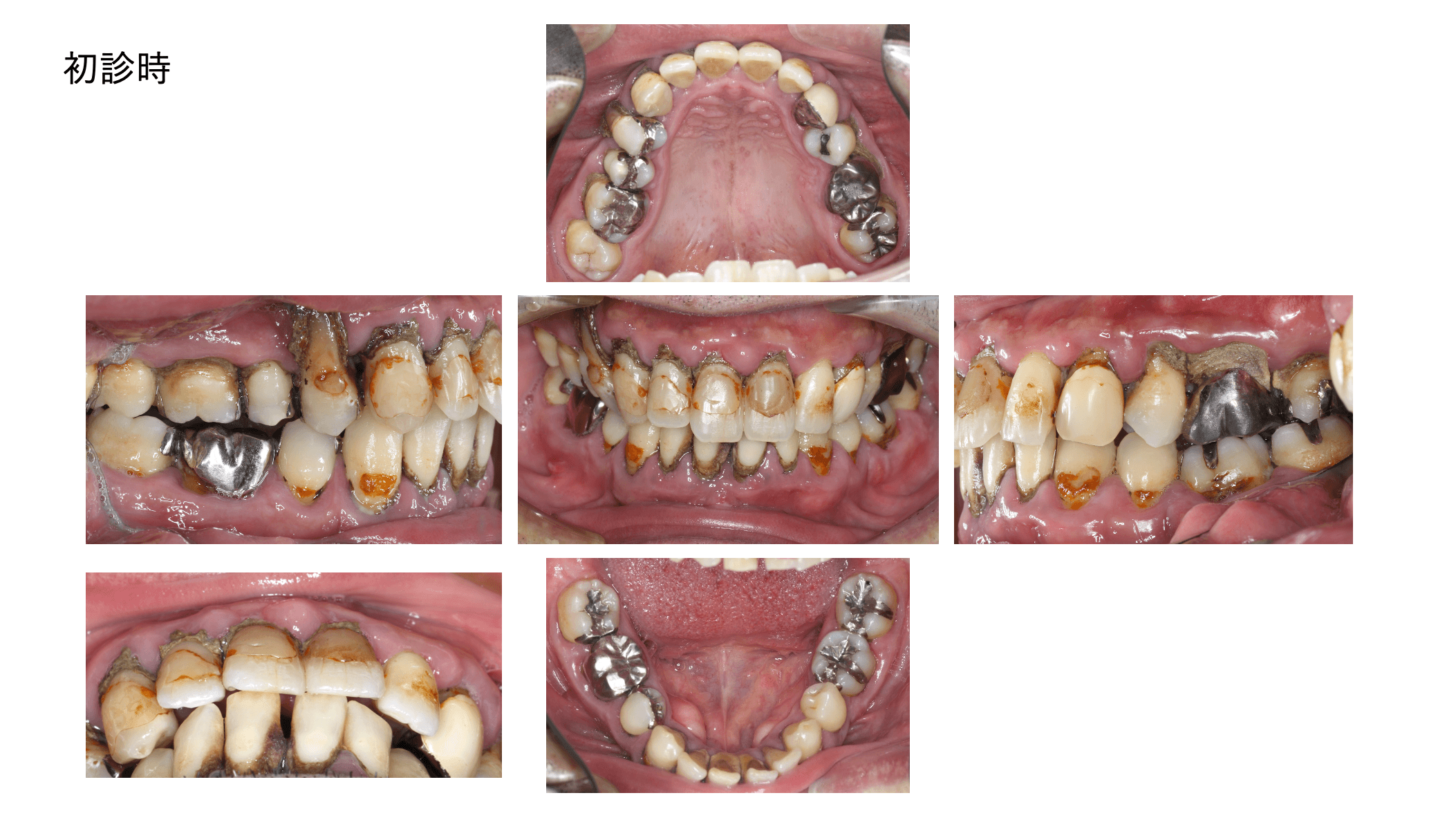
歯周ポケット測定不能。教科書的に100%抜歯の重度慢性歯周炎。原因除去療法とマイクロスコープを使った低侵襲の歯周組織再生療法により、抜歯を回避して回復した症例です。

根尖に及ぶ透過像、黒い部分に骨はほとんどない。

ポケットの深さ測定不能
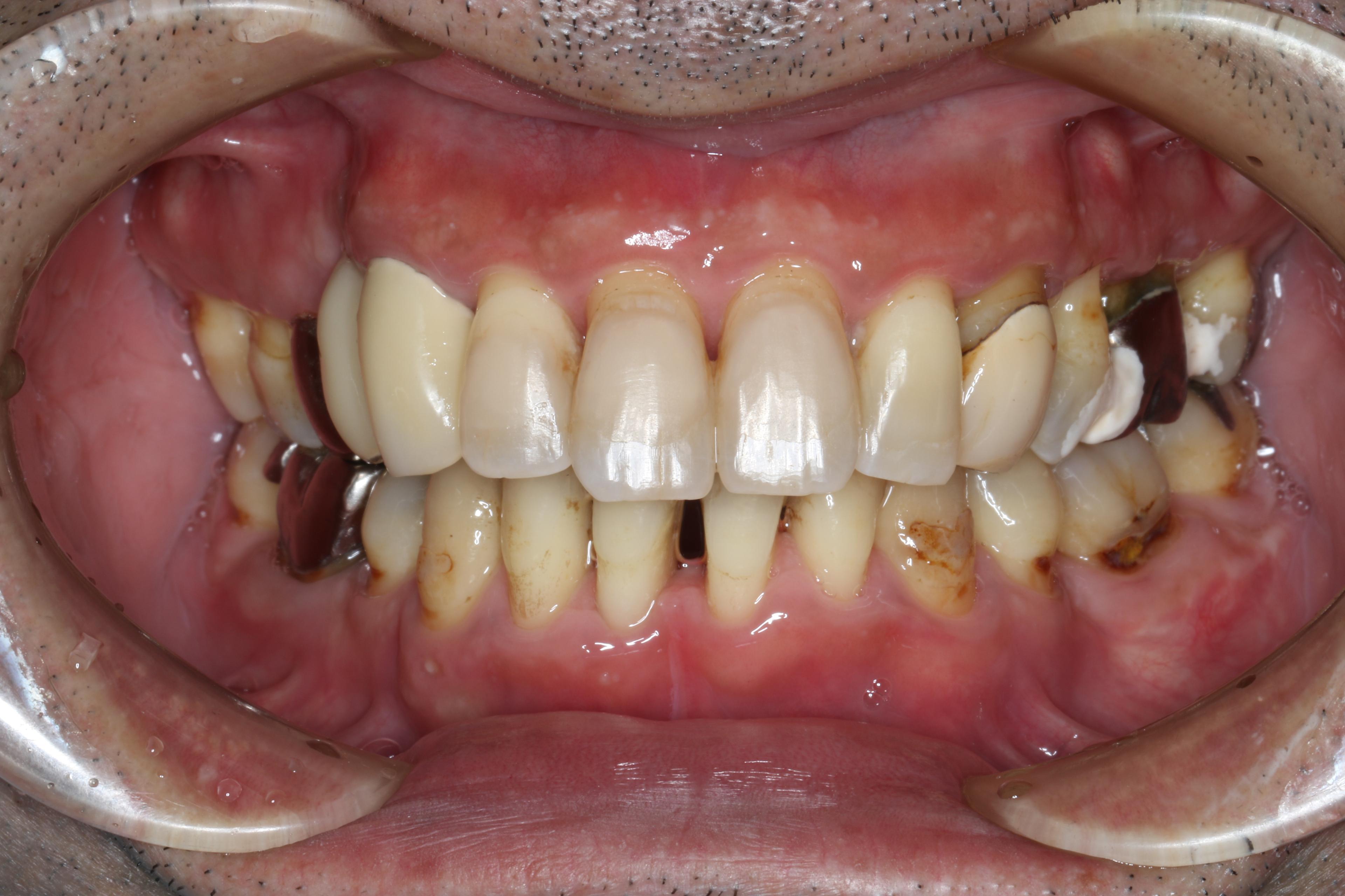
ご来院の理由
指数病の治療をしたいということでご来院された40代の男性です。写真で分かるとおり歯石がびっしりと着いており歯周炎により歯茎の腫れも相当ある状態でした。

喫煙は1日10本を20年、 糖尿病はありません。
- 広汎型慢性歯周炎 ステージ3 グレードC
と診断をいたしました。

根尖にまで及ぶ透過像
右下1をフォーカスしてみると、根尖に及ぶ透過像がみられます。画像の中央黒い部分になりますが、ここには歯を支える骨はありません。歯周ポケットの深さはもはや測定不可
教科書的には間違いなく抜歯となりますが、ここで諦めるのはまだ早く、回復出来る可能性もあります。原因除去療法により治療を進めることにいたしました。


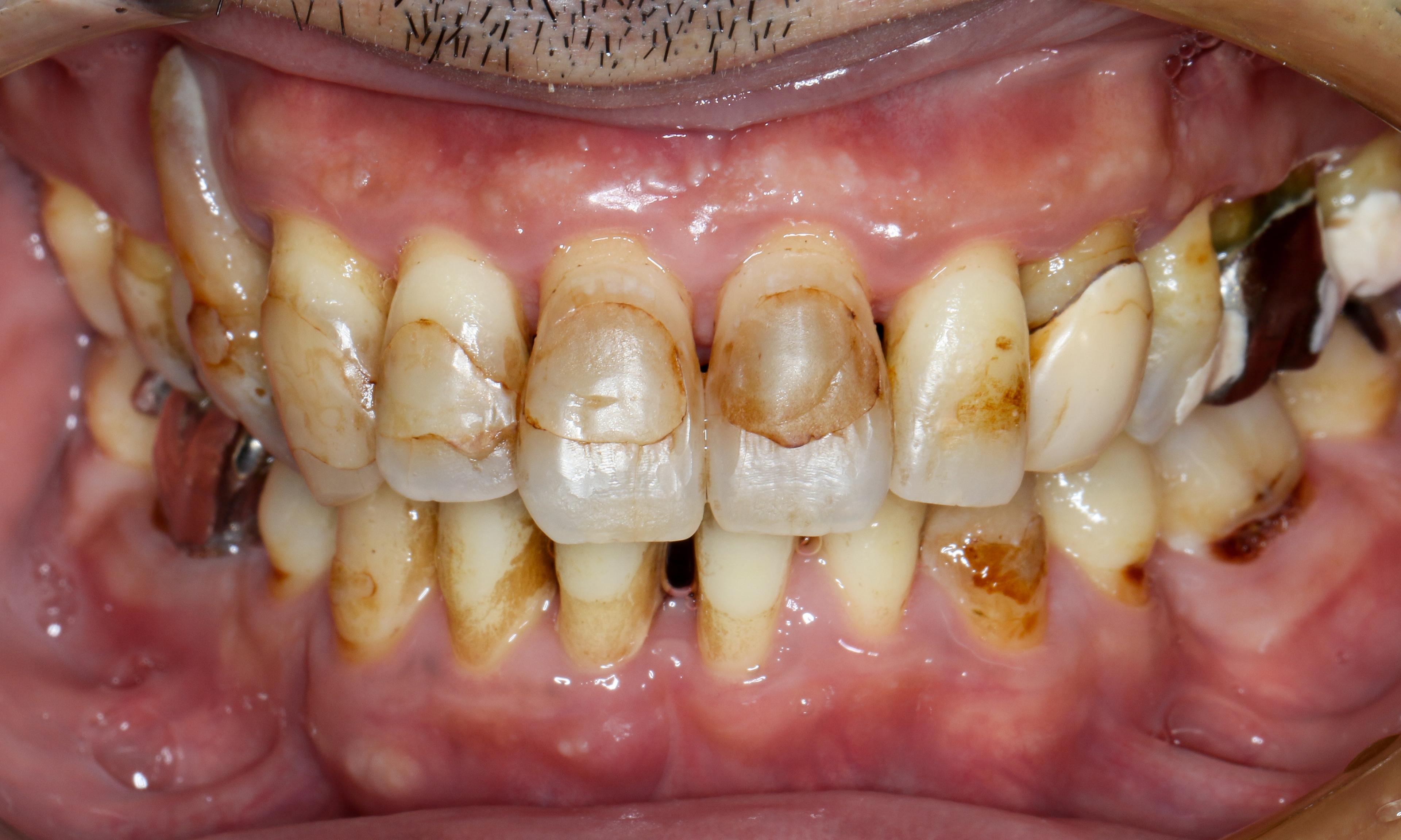
8ヶ月後:透過部の骨吸収が改善
8ヶ月かかりましたが、患者様の頑張りもありなんとか炎症をコントロールできました。このとき喫煙も1日10本以下に改善しています。

歯茎の腫れも治まり健康な歯肉の色になってきている。

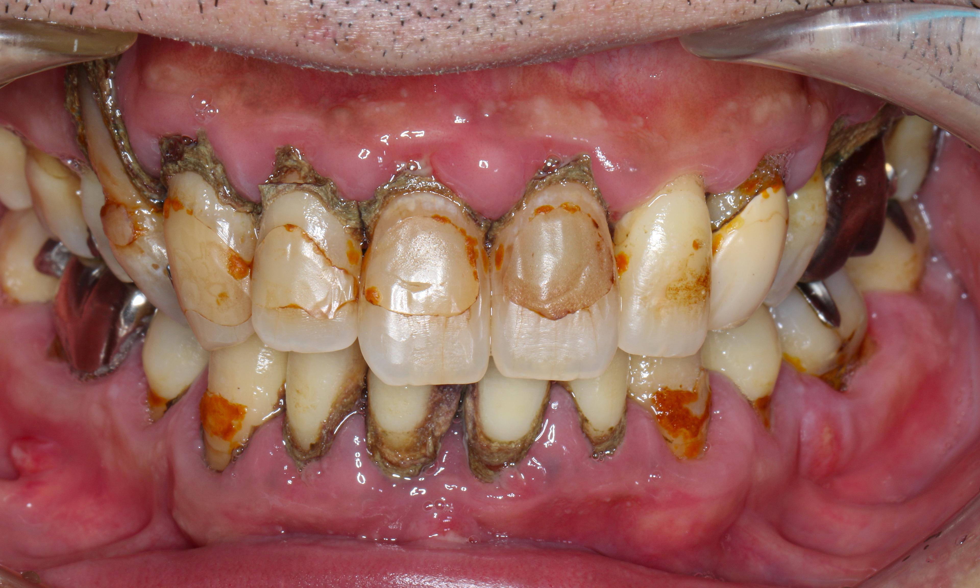
初診時の状態。差は歴然。
初診時と比べて歯周ポケット深さは6mmまで改善し、歯周組織再生療法により抜歯を回避できると判断できるまで回復をしています。

歯周組織再生療法
マイクロスコープを用いて根面のデブライドメントを行い、リグロス(歯科の再生治療において健康保険が使える唯一の薬剤)と自家骨を充填して縫合します。

術後1週で抜糸、3週で良好な治癒が得られました。

左:術後 中:術後1週 抜糸 右:術後3週間
再生療法の評価
- 初診時:PD(歯周ポケットの深さ)=測定不能
- 再評価時:PD=6mm
- 歯周組織再生療法 術後1年:PD=3mmに改善
- 歯周組織再生療法 術後4年:状態を維持
- 歯周組織再生療法 術後5年9ヶ月:状態を維持

術後6年が経過した今も定期的にメンテナンスに通っていただいており、抜歯を免れ良好な口腔状態をキープされています。




術後5年9ヶ月

