ザ・クインテッセンス/2025年2月号の特集記事を院長の大杉が執筆いたしました。
執筆
About Us
「主治医」が、複数分野における専門的な知識と技術を備えていなければ、患者様にとって最善の提案がされないこともある。
例えば、審美性や機能性を獲得できる最も適切な位置にインプラントを入れたい場合、事前に矯正治療を行ったほうが良いケースが多くあります。

Doctor

オールラウンダーを極めることが、
理想的な歯科医療のスタイルだと信じています。
医科の総合病院で見られるような主治医を中心に各専門科が高度に連携する「インターディシプリナリー・モデル」が理想的な医療体制だと考えています。しかし、歯科の場合はその大部分が街のクリニックで提供されており、近隣に都合よく専門医が揃っているわけではありません。
Cases
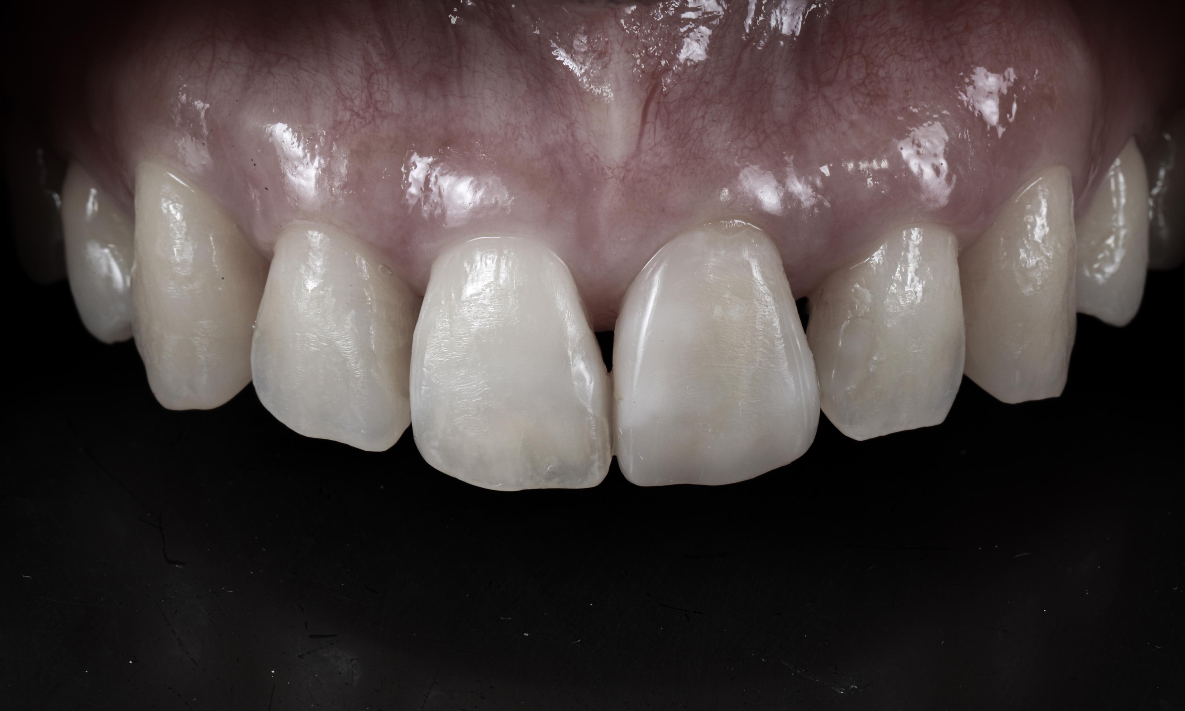
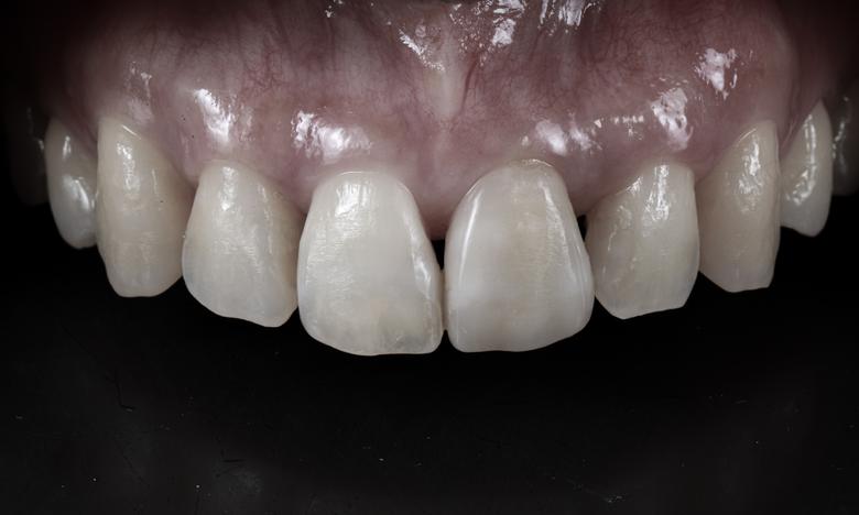
上の前歯6本の中で1本だけインプラントが入っています。どの歯がインプラント=作り物の歯か分かりますか?当院の高度歯科医療ではここまで自然な歯に仕上げることが可能です。

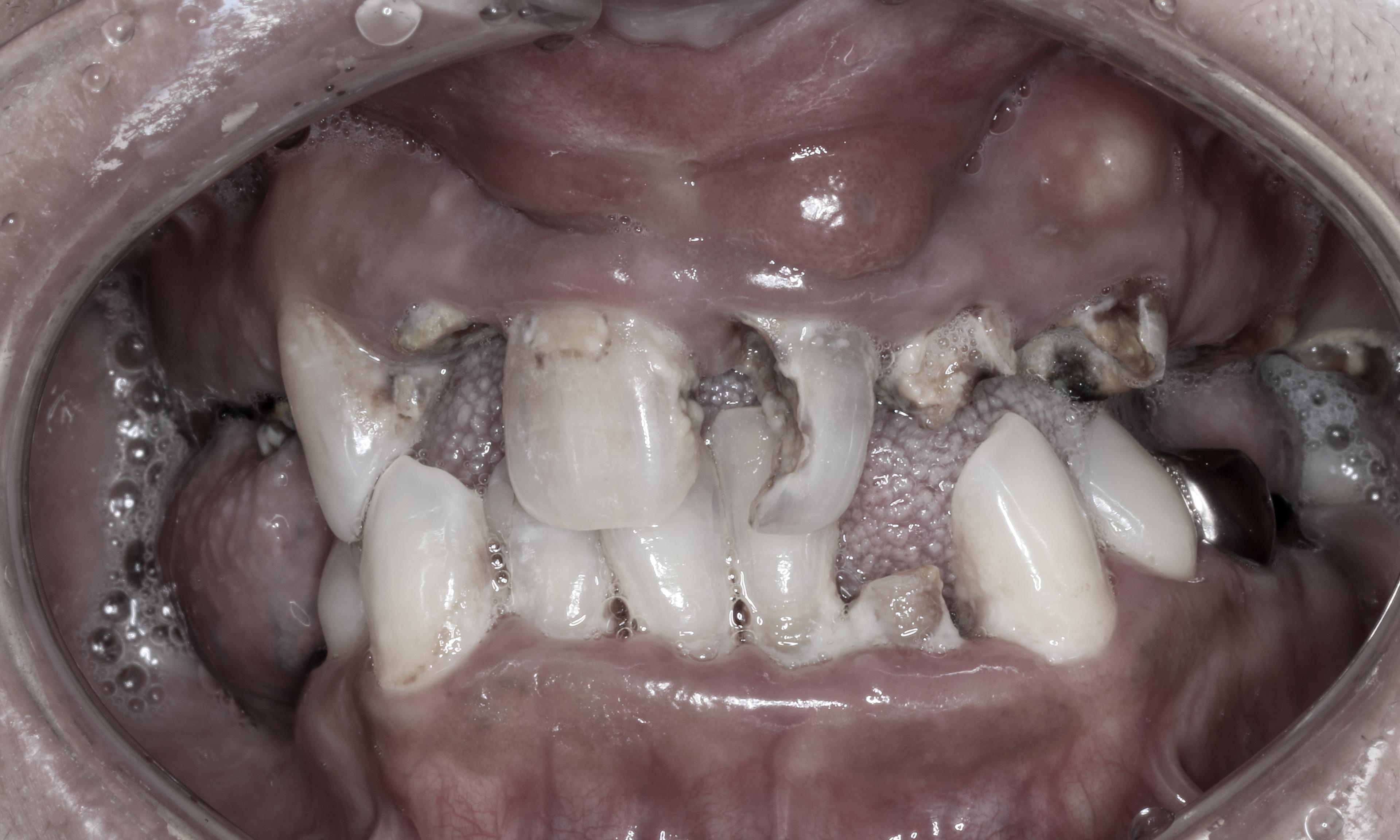
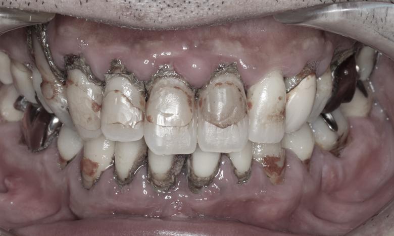
大病を患っていたことから口腔ケアが出来ず重度歯周病と歯冠崩壊が進んでしまったケースです。矯正治療とインプラント治療を組み合わせ、可能な限り天然歯を保存して口腔再建を行いました。

下の歯を上の前歯に歯牙移植。前歯1本を抜歯しなければいけないこととなり、矯正の都合で抜歯になる健康な下の歯を自家歯牙移植して審美的、機能的に回復させた症例です。

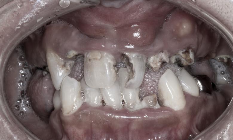
歯周ポケット測定不能。教科書的に100%抜歯の重度慢性歯周炎。原因除去療法とマイクロスコープを使った低侵襲の歯周組織再生療法により、抜歯を回避して回復した症例です。

お口の中は全体的に良好な状態に見えましたが、下の奥歯に「限局型慢性歯周炎(ステージ3 グレードC)」が判明し保存が極めて難しい状態に。ここから歯周組織再生療法による回復を試みました。

FAQ
保険の範囲で高度歯科医療専門外来の治療を受けられますか?
治療の精度や質を保つためには、保険診療だけでは対応できない処置が必要になることがあります。そのため当院では、保険診療と自費診療を組み合わせた形で高度歯科医療をご提供しています。保険診療の範囲内での治療をご希望の場合は、一般診療枠でのご予約をお願いしております。治療内容についてはわかりやすくご説明いたしますので、ご不明な点があればお気軽にご相談ください。
自費と保険の併用は出来ますか?
はい、自費治療と保険治療を併用することは可能です。ただし、併用には一定のルールがあり、保険治療で対応できるのは歯周病の治療や虫歯の基本的な処置など、国の基準で定められた必要最低限の内容に限られます。一方で、自費治療では保険では使用できない材料や技術を用いることで、見た目や機能性、耐久性に優れた治療を行うことができます。併用の可否や内容については個別にご説明いたしますので、どうぞお気軽にご相談ください。
静脈内鎮静法は行っていますか?
はい、当院では静脈内鎮静法を行っております。治療中の不安や恐怖心を和らげるために、麻酔専門医が担当し、安全に静脈内鎮静を実施しています。この方法では、患者さまはうたた寝をしているようなリラックスした状態になり、不快感や治療中の記憶もほとんど残らず、安心して処置を受けていただけます。さらに、治療中は麻酔専門医が全身状態を丁寧にモニタリングしますので、安全性の高い環境で治療を進めることが可能です。