第9回 日本国際歯科大会 の演者に院長の大杉が選出されました。
学会発表

2023年9月29日〜10月1日に開催された第9回 日本国際歯科大会のペリオ(歯周病)セッションでの演者に院長の大杉が選出されました。日本国際歯科大会は4年に一度開催される国際的医学雑誌が主催する世界でも最大規模の大会です。
概要
2023年9月29日(金)から10月1日(日)までの3日間、神奈川県・パシフィコ横浜にて「第9回 日本国際歯科大会2023」(World Young Dental Innovators’ Meeting 2023、第9回ワールドデンタルショー2023併催/主催:クインテッセンス出版株式会社)が、「No Dentistry, No Wellness!継承と革新から創造する歯科の未来」という大会テーマのもと、盛大に開催されました。
今回で5年ぶり9回目となる本大会には、クインテッセンスインターナショナルのネットワークを活用し、海外から37名、国内から600名を超える演者・座長が参加しました。会場には過去最多となる10,411名の歯科医療関係者が来場し、盛況となりました。最前線の歯科医療技術をはじめ、デジタルデンティストリーや予防歯科、アライナー矯正など、幅広いテーマのプログラムが用意されました。
併催されたWorld Young Dental Innovators’ Meeting 2023(若手臨床家によるプレゼンテーション)も大変好評で、満席や立ち見となるセッションが多く見受けられました。
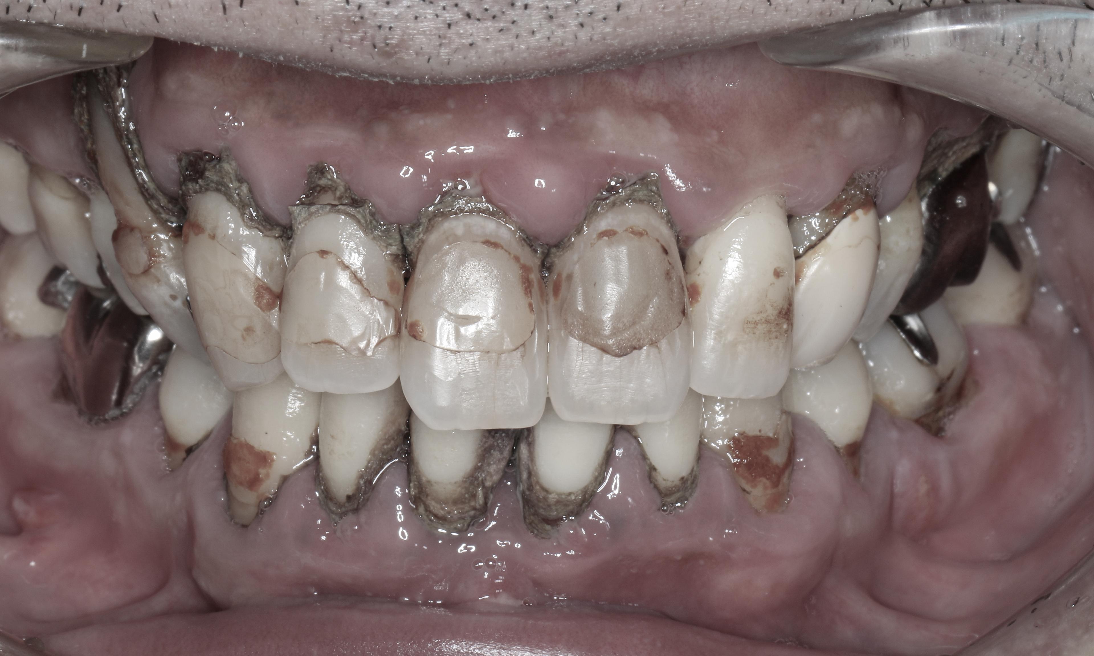
ペリオ(歯周病)セッションの発表内容
発表内容にはこちらのサイトの治療例にもまとまておりますので、是非御覧ください。


