重度歯周病に対する歯周組織再生療法
- 05
- 再生治療
- 限局的
- 歯周病
- マイクロスコープ

基本データ
- 年齢/性別
- 44歳 女性
- 治療期間
- 約 年 ヶ月
- 費用
- 約 万円
- リスクと副作用
- 術後疼痛/歯肉腫脹/知覚過敏
お口の中は全体的に良好な状態に見えましたが、下の奥歯に「限局型慢性歯周炎(ステージ3 グレードC)」が判明し保存が極めて難しい状態に。ここから歯周組織再生療法による回復を試みました。

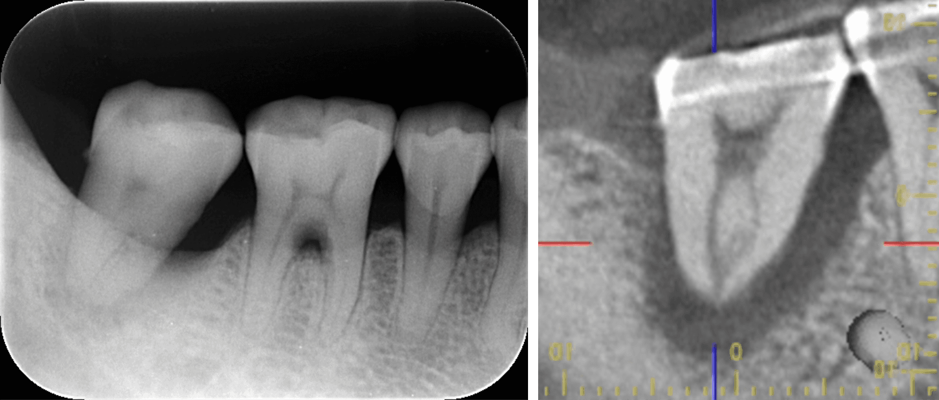
根尖を超える透過像を認める。歯を支えている骨はほとんど残っていない。
ご来院の理由
44歳の女性、歯が揺れているという理由で心配になりご来院されました。PC(プラークコントロール)はそこまで悪くなく、全顎的な歯肉炎もありません。オーバーブラッシングによる歯肉退縮が若干みられます。

右下奥歯2本で局所的に歯周炎が進行
- 喫煙:なし
- 糖尿病:なし
- 診断:限局型慢性歯周炎 ステージ3 グレードC
レントゲンを撮ったところ、右下の一番奥の歯に根尖を超える透過像がありました。根の下まで支える骨がなくなっているということです。ここまでの状態だとかなり厳しい状況ですが、歯の温存を強く希望されたため、チャレンジな治療になることをご説明し、納得された上で治療を進めることになりました。

根尖を超える透過像を認める。歯を支えている骨ほとんど残っていない。

見た目では歯根露出が大きい程度の印象しかない。
歯周基本治療
広範囲にわたり付着が喪失、舌側中央、遠心のみ付着ありの状態です。噛めないほどにぐらぐらしている状態を想像してください。
ここまで限局的は歯周病が進んだ原因としては、主にはプラークコントロール、食片圧入と咬合も関与しているものと考えられます。
臨床所見と治療内容
- 早期接触あり→咬合調整
- 動揺度Ⅲ度→暫間固定
- 根尖部の透過像→根管治療
- 根面の粗造感があることから根面のデブライドメント
- 抗生剤の局所投与
診断として、ペリオファースト、セカンダリーエンドで治療をすることにいたしました。

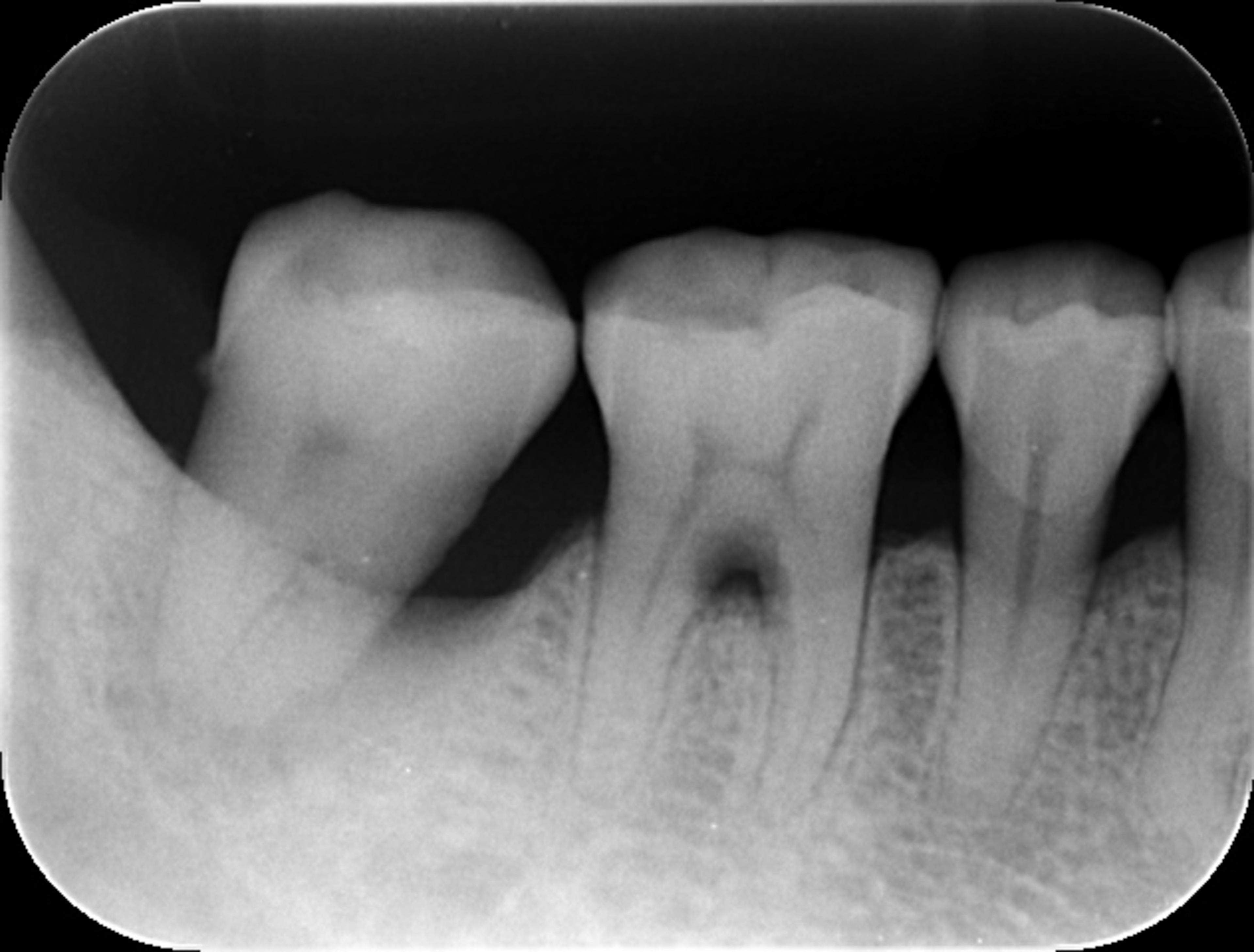
歯周基本治療後3ヶ月:CTでの評価
透過像が改善されていることが確認できました。細菌が排除されたことで Re-Mineralization(再石灰化)が起きていることも確認できます。

歯周基本治療時と再生療法前のプロービング検査の結果です。頬側は全体的に浅くなり近心舌側は10mmから5mmに改善しました。

歯周組織再生療法のデザイン
予想される骨欠損形態から歯肉のフラップデザインを行います。今回は、MPPT(Modified Papilla Preservation Technique)で、頬側のみからの Single flap approach としました。

マイクロスコープ下でのオペを実施
オペはマイクロスコープ下で行います。フラップ形成後、
歯周基本治療により、歯石はほぼ綺麗に除去されていた
根尖部の歯石様のものは超音波スケーラーで除去。一部セメント質が欠損しており、セメント質剥離を疑いました。剥離しかけのセメント質を除去するよう、ダイヤモンドチップで平坦化を図りました。
デブライドメント後はサイトランスにリグロスを混和したものを設置。歯肉が薄いことから、結合組織移植も行います。

術後1週で抜糸、3週で良好な治癒となりました。

再生療法の評価
- 術前:動揺度3度、PDは遠心から11mm、9mm、6mmと深い状態
- 術後1年5ヶ月:PD=5mmに改善 動揺度も0〜1度に改善
Bleeding On Probing(歯周ポケットの底部にプローブを挿入した際の歯茎からの出血)なしで臨床的に安定する状態に導けたと考えられます。

CTでの評価
大幅な透過像の改善が認められました。一見 Hopeless な歯でもエンドも含めた歯周基本治療を徹底し、段階的に診断することで、保存することが出来たと考えます。まだバイオマテリアルの粒子が目立ちますので、今後も経過観察をしていく予定です。


