自家歯牙移植と矯正を複合した機能再建治療
- 03
- 審美
- 再生治療
- 限局的
- 歯周病

基本データ
- 年齢/性別
- 39歳 女性
- 治療期間
- 約 年 ヶ月
- 費用
- 約万円
- リスクと副作用
- 術後疼痛/歯肉腫脹/知覚過敏
下の歯を上の前歯に歯牙移植。前歯1本を抜歯しなければいけないこととなり、矯正の都合で抜歯になる健康な下の歯を自家歯牙移植して審美的、機能的に回復させた症例です。


ご来院の理由
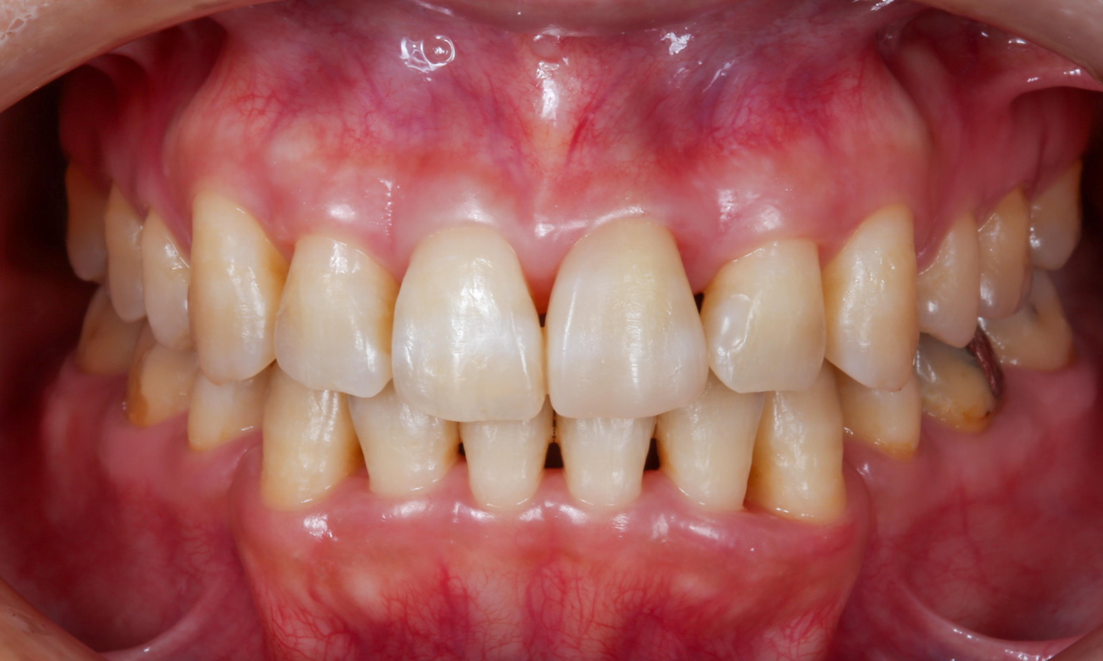
矯正をしたいという主訴で他院にかかられていましたが、検査をしたところ変色した前歯にそれ以外の問題が見つかり、他のクリニックからご紹介で来院されました。

見た限りでは左上の前歯1本だけが神経を取ったことによって変色しているだけで特段大きな問題は無いように思えましたが、CTによる精密検査を行ったところ、変色している歯の根に内部吸収がみられ脆くなっており、矯正後に安定した予後が見込めないということが分かりました。

矯正と歯牙移植を組み合わせた治療計画
矯正にあたっては下の左右4番(犬歯の1つ後ろ)の歯を抜歯してする予定があり、CTにより抜歯予定のドナー歯を前歯に移植可能かを診査したところ、最小限の骨削除をするだけで可能であることが分かり、自家歯牙移植をして審美性や機能性の回復をさせることをご提案させていただきました。

さっそく、移植に向けてCTのデータから事前にドナー歯(右下4)のレプリカを製作して準備をいたしました。このレプリカが移植時に重要な役割を果たします。

ドナー歯(右下4)のレプリカ

レプリカと実際のドナー歯を術中に比較したところ。ほぼ同形状の形が術前が作製できる。
右下から上前歯への移植
自家歯牙移植は、以下の手順で行います。
- レシピエント側(移植先)となる上の前歯を抜歯する
- 抜歯後の骨のスペース(抜歯窩)をあらかじめ用意したドナー歯のレプリカに合わせて削り、受容床として形を整える
- ドナー歯を抜歯し、すぐに受容床へと移植する
移植を成功させるためには、ドナー歯とその歯根膜(歯と骨の間にある靭帯のような組織)をできる限り傷つけず、迅速に受容床へ移すことが非常に重要です。もし歯根膜が損傷し剥がれてしまうと、移植後に歯と骨が直接癒着してしまう「アンキローシス」という状態になり、歯に本来あるべきクッション性が失われて、将来的に歯が割れやすくなるリスクがあります。
そのため、ドナー歯を抜く前にレプリカを使用して受容床の調整を済ませておくことが重要です。これにより、ドナー歯の移植を短時間で行うことができ、歯根膜のダメージを最小限に抑えることが可能になります。

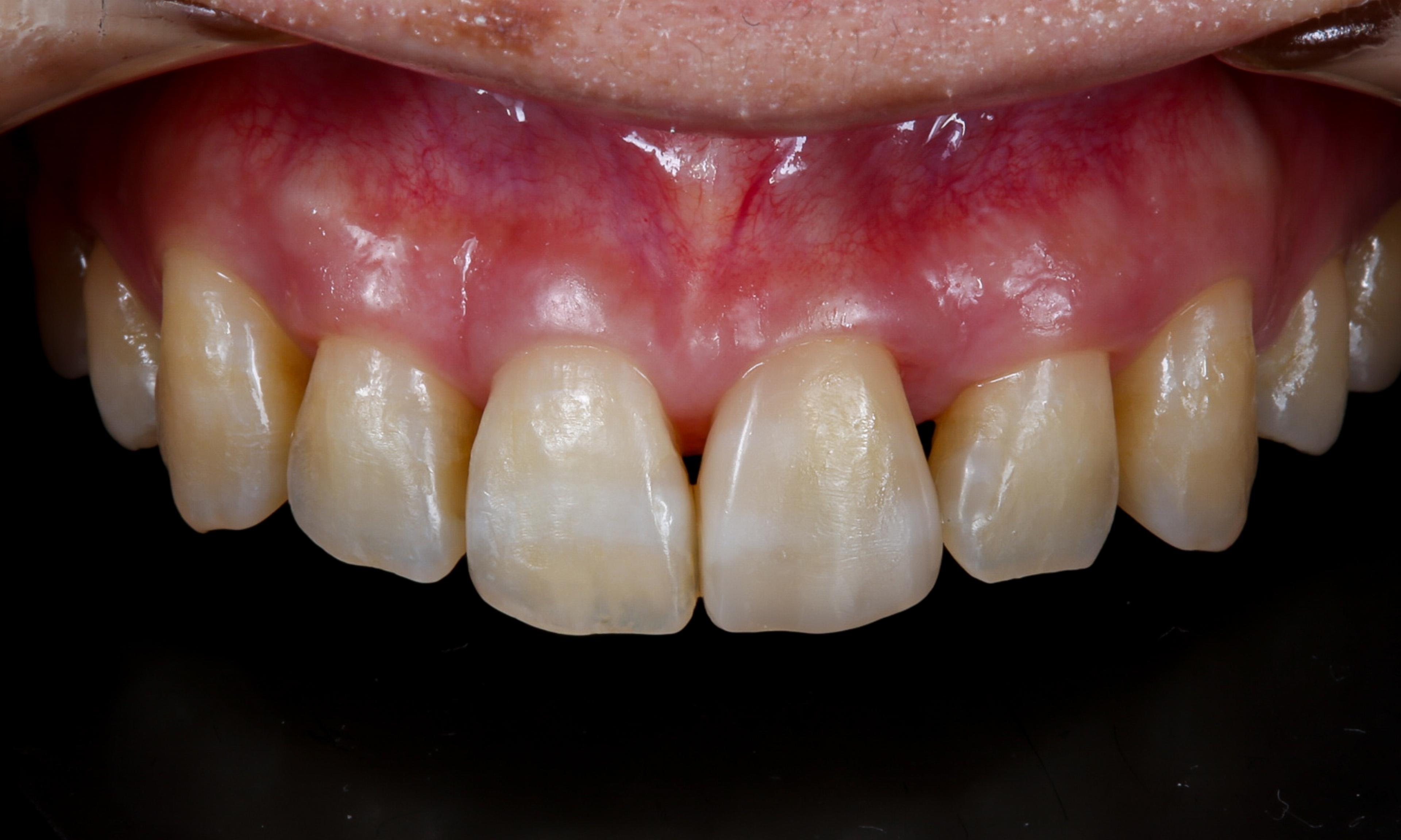
移植の3ヶ月後、骨癒着を起こさずに天然歯と同じくクッション性(生理的動揺)のある状態に回復しました。

矯正治療の終了
自家歯牙移植を含めて、矯正治療が終了したので次は移植した歯の形態修復を行います。


精密コンポジットレジンで歯冠形態の修復
ここではダイレクトボンディングという、歯の削除量を最小限に抑えつつ、リアルタイムで口腔内で歯の形を作り上げる手法を用いて修復を行います。技術的にも審美的にも歯科医師の技量が問われる部分です。ラバーダムという薄いゴムの膜(青色の部分)で防湿をしながら処置を行います。
今回は移植した左右の歯も同時に、3本の歯をコンポジットレジンで精密に修復をしていきます。

上の前歯には白帯が強く入っているため、レンジの色も使い分けて慎重に修復を行います。


移植した歯はバックウォールを作ってから白帯や歯の内部構造(マメロン)も再現するようにレジンの筑盛をします。色彩のセンスやバランス感覚が問われます。


シミュレーション模型に合わせて形を確認します。


形態修復の完成
最終的に、審美的にも機能的にも回復をすることが出来ました。



